UCP3 antibody

Cat. No. GTX05177
Cat. No.  GTX05177
Anti-UCP3 antibody used in IHC (Paraffin sections) (IHC-P). GTX05177
GTX05177 IHC-P Image

IHC-P analysis of mouse brain tissue using GTX05177 UCP3 antibody.
Antigen retrieval : Heat mediated antigen retrieval performed with Citrate Buffer.
Dilution : 1:100

1 / 5
Anti-UCP3 antibody used in IHC (Paraffin sections) (IHC-P). GTX05177
GTX05177 IHC-P Image

IHC-P analysis of rat brain tissue using GTX05177 UCP3 antibody.
Antigen retrieval : Heat mediated antigen retrieval performed with Citrate Buffer.
Dilution : 1:100

2 / 5
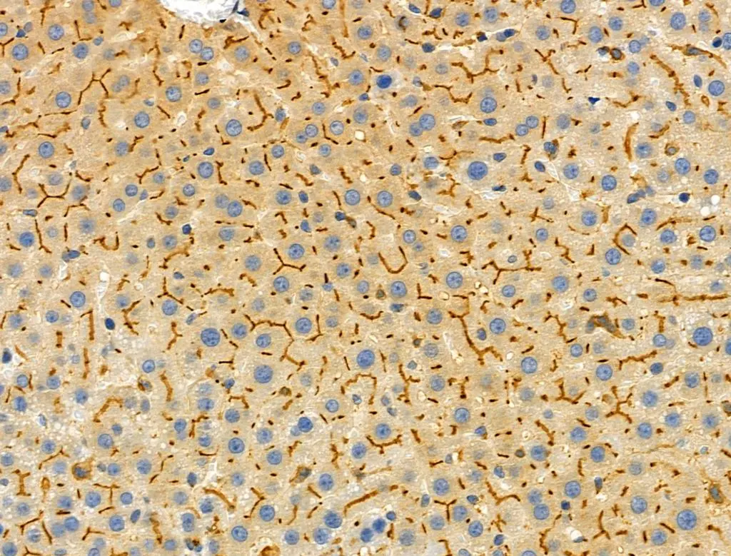
Anti-UCP3 antibody used in IHC (Paraffin sections) (IHC-P). GTX05177
GTX05177 IHC-P Image

IHC-P analysis of mouse liver tissue using GTX05177 UCP3 antibody.
Antigen retrieval : Heat mediated antigen retrieval performed with Citrate Buffer.
Dilution : 1:100

3 / 5
Anti-UCP3 antibody used in IHC (Paraffin sections) (IHC-P). GTX05177
GTX05177 IHC-P Image

IHC-P analysis of human heart tissue using GTX05177 UCP3 antibody.
Antigen retrieval : Heat mediated antigen retrieval performed with Citrate Buffer.
Dilution : 1:200

4 / 5
Anti-UCP3 antibody used in IHC (Paraffin sections) (IHC-P). GTX05177
GTX05177 IHC-P Image

IHC-P analysis of rat liver tissue using GTX05177 UCP3 antibody.
Antigen retrieval : Heat mediated antigen retrieval performed with Citrate Buffer.
Dilution : 1:100

5 / 5
Anti-UCP3 antibody used in IHC (Paraffin sections) (IHC-P). GTX05177
Anti-UCP3 antibody used in IHC (Paraffin sections) (IHC-P). GTX05177
Anti-UCP3 antibody used in IHC (Paraffin sections) (IHC-P). GTX05177
Anti-UCP3 antibody used in IHC (Paraffin sections) (IHC-P). GTX05177
Anti-UCP3 antibody used in IHC (Paraffin sections) (IHC-P). GTX05177
  • Host
    Rabbit
  • Clonality
    Polyclonal
  • Isotype
    IgG
  • Applications
    WB IHC-P
  • Reactivity
    Human, Mouse, Rat
See all UCP3 products