UGCG antibody

Cat. No. GTX05087
Cat. No.  GTX05087
Anti-UGCG antibody used in Western Blot (WB). GTX05087
GTX05087 WB Image

WB analysis of mouse lymph node tissue lysate using GTX05087 UGCG antibody.
Dilution : 1:1000

1 / 3
Anti-UGCG antibody used in Western Blot (WB). GTX05087
GTX05087 WB Image

WB analysis of mouse small intestine tissue lysate using GTX05087 UGCG antibody.
Dilution : 1:1000

2 / 3
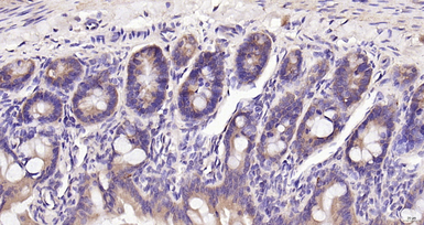
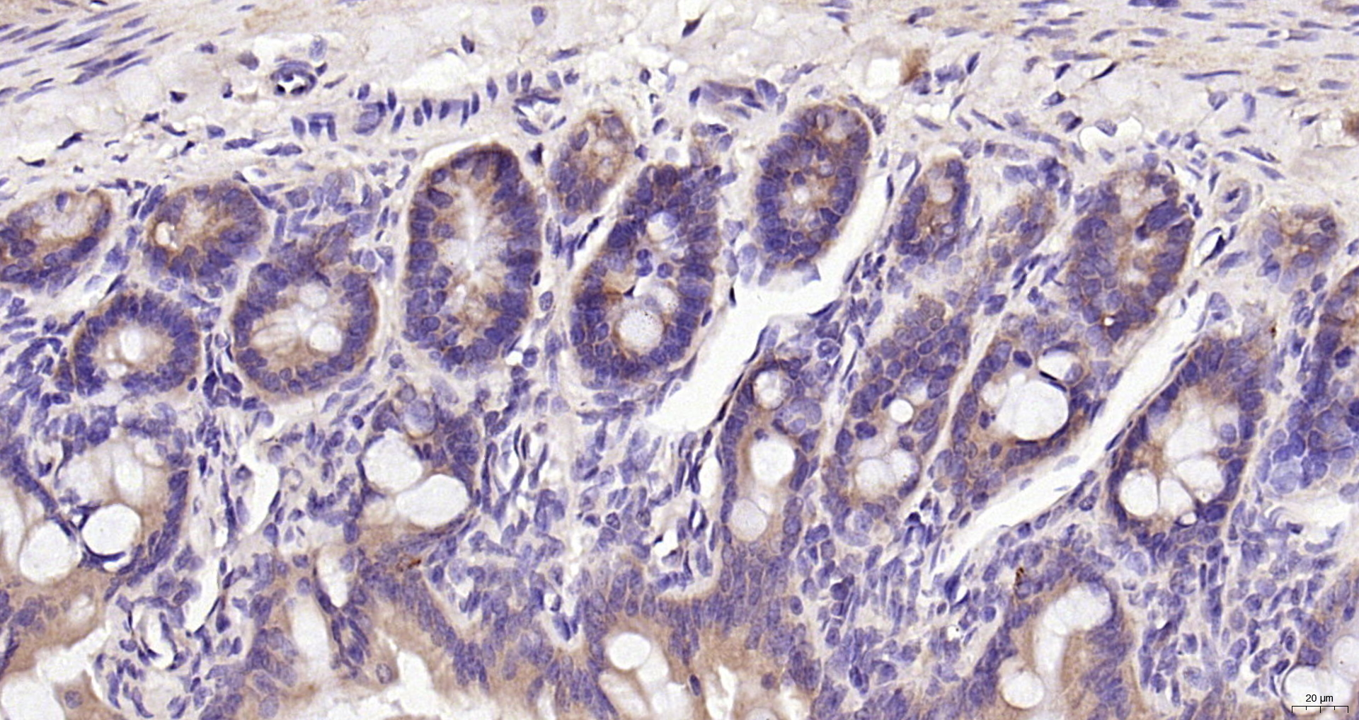
Anti-UGCG antibody used in IHC (Paraffin sections) (IHC-P). GTX05087
GTX05087 IHC-P Image

IHC-P analysis of rat small intestine tissue using GTX05087 UGCG antibody.
Antigen retrieval : Heat mediated antigen retrieval performed with sodium citrate buffer (pH 6.0)
Dilution : 1:200

3 / 3
Anti-UGCG antibody used in Western Blot (WB). GTX05087
Anti-UGCG antibody used in Western Blot (WB). GTX05087
Anti-UGCG antibody used in IHC (Paraffin sections) (IHC-P). GTX05087
  • Host
    Rabbit
  • Clonality
    Polyclonal
  • Isotype
    IgG
  • Applications
    WB IHC-P
  • Reactivity
    Mouse, Rat
See all UGCG products