UQCR10 antibody

Cat. No. GTX32954
Cat. No.  GTX32954
Anti-UQCR10 antibody used in IHC (Paraffin sections) (IHC-P). GTX32954
GTX32954 IHC-P Image

IHC-P analysis of human liver damage tissue using GTX32954 UQCR10 antibody.
Dilution : 1:100

1 / 4
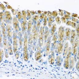
Anti-UQCR10 antibody used in IHC (Paraffin sections) (IHC-P). GTX32954
GTX32954 IHC-P Image

IHC-P analysis of mouse stomach tissue using GTX32954 UQCR10 antibody.
Dilution : 1:100

2 / 4
Anti-UQCR10 antibody used in Western Blot (WB). GTX32954
GTX32954 WB Image

WB analysis of various sample lysates using GTX32954 UQCR10 antibody. The signal was developed with ECL plus-Enhanced.
Dilution : 1:1000
Loading : 25μg per lane

3 / 4
Anti-UQCR10 antibody used in IHC (Paraffin sections) (IHC-P). GTX32954
GTX32954 IHC-P Image

IHC-P analysis of rat kidney tissue using GTX32954 UQCR10 antibody.
Dilution : 1:100

4 / 4
Anti-UQCR10 antibody used in IHC (Paraffin sections) (IHC-P). GTX32954
Anti-UQCR10 antibody used in IHC (Paraffin sections) (IHC-P). GTX32954
Anti-UQCR10 antibody used in Western Blot (WB). GTX32954
Anti-UQCR10 antibody used in IHC (Paraffin sections) (IHC-P). GTX32954
  • Host
    Rabbit
  • Clonality
    Polyclonal
  • Isotype
    IgG
  • Applications
    WB IHC-P
  • Reactivity
    Human, Mouse, Rat
See all UQCR10 products