USP6NL antibody

Cat. No. GTX87538
Cat. No.  GTX87538
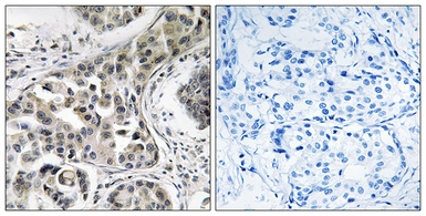
Anti-USP6NL antibody used in IHC (Paraffin sections) (IHC-P). GTX87538
GTX87538 IHC-P Image

IHC-P analysis of human breast carcinoma tissue using GTX87538 USP6NL antibody. The picture on the right is blocked with the synthesized peptide.

1 / 1
Anti-USP6NL antibody used in IHC (Paraffin sections) (IHC-P). GTX87538
  • Host
    Rabbit
  • Clonality
    Polyclonal
  • Isotype
    IgG
  • Applications
    IHC-P
  • Reactivity
    Human
See all USP6NL products