Ubinuclein 1 antibody

Cat. No. GTX87636
Cat. No.  GTX87636
Anti-Ubinuclein 1 antibody used in Immunocytochemistry/ Immunofluorescence (ICC/IF). GTX87636
GTX87636 ICC/IF Image

ICC/IF analysis of A549 cells using GTX87636 Ubinuclein 1 antibody. The picture on the right is blocked with the synthesized peptide.

1 / 2
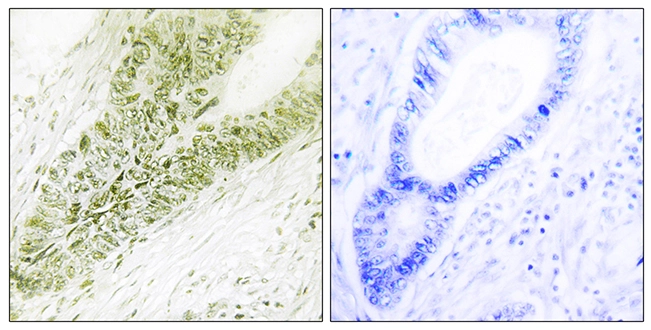
Anti-Ubinuclein 1 antibody used in IHC (Paraffin sections) (IHC-P). GTX87636
GTX87636 IHC-P Image

IHC-P analysis of human colon carcinoma tissue using GTX87636 Ubinuclein 1 antibody. The picture on the right is blocked with the synthesized peptide.

2 / 2
Anti-Ubinuclein 1 antibody used in Immunocytochemistry/ Immunofluorescence (ICC/IF). GTX87636
Anti-Ubinuclein 1 antibody used in IHC (Paraffin sections) (IHC-P). GTX87636
  • Host
    Rabbit
  • Clonality
    Polyclonal
  • Isotype
    IgG
  • Applications
    ICC/IF IHC-P
  • Reactivity
    Human
See all Ubinuclein 1 products