Urocotin 2 antibody

Cat. No. GTX65915
Cat. No.  GTX65915
Anti-Urocotin 2 antibody used in Western Blot (WB). GTX65915
GTX65915 WB Image

WB analysis of rat skin tissue lysate using GTX65915 Urocotin 2 antibody.
Dilution : 1:1000
Loading : 25μg per lane

1 / 3
Anti-Urocotin 2 antibody used in Immunocytochemistry/ Immunofluorescence (ICC/IF). GTX65915
GTX65915 ICC/IF Image

ICC/IF analysis of U2OS cells using GTX65915 Urocotin 2 antibody.
Blue : DAPI

2 / 3
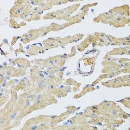
Anti-Urocotin 2 antibody used in IHC (Paraffin sections) (IHC-P). GTX65915
GTX65915 IHC-P Image

IHC-P analysis of mouse heart tissue using GTX65915 Urocotin 2 antibody.
Dilution : 1:100

3 / 3
Anti-Urocotin 2 antibody used in Western Blot (WB). GTX65915
Anti-Urocotin 2 antibody used in Immunocytochemistry/ Immunofluorescence (ICC/IF). GTX65915
Anti-Urocotin 2 antibody used in IHC (Paraffin sections) (IHC-P). GTX65915
  • Host
    Rabbit
  • Clonality
    Polyclonal
  • Isotype
    IgG
  • Applications
    WB ICC/IF IHC-P
  • Reactivity
    Human, Mouse, Rat
See all Urocotin 2 products