VCAM1 / CD106 antibody [ARC61231]

Cat. No. GTX05160
Cat. No.  GTX05160
Anti-VCAM1 / CD106 antibody [ARC61231] used in Western Blot (WB). GTX05160
GTX05160 WB Image

WB analysis of HUVEC cells with/without 10 ng/ml hTNF-α treatment using GTX05160 VCAM1 / CD106 antibody [ARC61231].
Loading : 30μg
Dilution : 1:1000

1 / 3
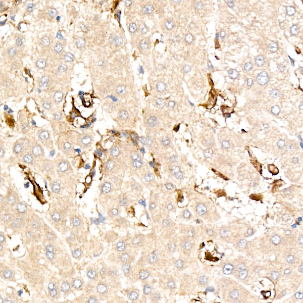
Anti-VCAM1 / CD106 antibody [ARC61231] used in IHC (Paraffin sections) (IHC-P). GTX05160
GTX05160 IHC-P Image

IHC-P analysis of human liver tissue using GTX05160 VCAM1 / CD106 antibody [ARC61231].
Antigen retrieval : Heat mediated antigen retrieval performed with0.01M Citrate Buffer(pH 6.0).
Dilution : 1:100

2 / 3
Anti-VCAM1 / CD106 antibody [ARC61231] used in IHC (Paraffin sections) (IHC-P). GTX05160
GTX05160 IHC-P Image

IHC-P analysis of human tonsil tissue using GTX05160 VCAM1 / CD106 antibody [ARC61231].
Antigen retrieval : Heat mediated antigen retrieval performed with 0.01M Citrate Buffer(pH 6.0).
Dilution : 1:100

3 / 3
Anti-VCAM1 / CD106 antibody [ARC61231] used in Western Blot (WB). GTX05160
Anti-VCAM1 / CD106 antibody [ARC61231] used in IHC (Paraffin sections) (IHC-P). GTX05160
Anti-VCAM1 / CD106 antibody [ARC61231] used in IHC (Paraffin sections) (IHC-P). GTX05160
  • Host
    Rabbit
  • Clonality
    Monoclonal
  • Clone Name
    ARC61231
  • Isotype
    IgG
  • Applications
    WB IHC-P
  • Reactivity
    Human
See all VCAM1 / CD106 products