VCAM1 / CD106 antibody [DCA-22]

Cat. No. GTX05158
Cat. No.  GTX05158
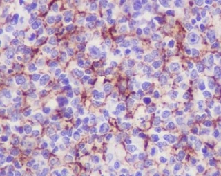
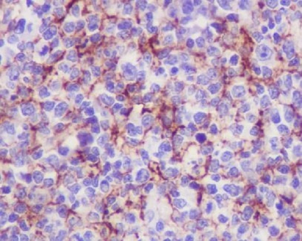
Anti-VCAM1 / CD106 antibody [DCA-22] used in IHC (Paraffin sections) (IHC-P). GTX05158
GTX05158 IHC-P Image

IHC-P analysis of human tonsil tissue using GTX05158 VCAM1 / CD106 antibody [DCA-22].

1 / 3
Anti-VCAM1 / CD106 antibody [DCA-22] used in Immunocytochemistry/ Immunofluorescence (ICC/IF). GTX05158
GTX05158 ICC/IF Image

ICC/IF analysis of K562 cells using GTX05158 VCAM1 / CD106 antibody [DCA-22].

2 / 3
Anti-VCAM1 / CD106 antibody [DCA-22] used in Western Blot (WB). GTX05158
GTX05158 WB Image

WB analysis of various samples using GTX05158 VCAM1 / CD106 antibody [DCA-22].
Lane 1 : Rat kidneyt tissue lysate
Lane 2 : Rat spleen tissue lysate
Lane 3 : Mouse kidney tissue lysate
Lane 4 : Mouse spleen tissue lysate
Loading : 30μg
Dilution : 1:500

3 / 3
Anti-VCAM1 / CD106 antibody [DCA-22] used in IHC (Paraffin sections) (IHC-P). GTX05158
Anti-VCAM1 / CD106 antibody [DCA-22] used in Immunocytochemistry/ Immunofluorescence (ICC/IF). GTX05158
Anti-VCAM1 / CD106 antibody [DCA-22] used in Western Blot (WB). GTX05158
  • Host
    Rabbit
  • Clonality
    Monoclonal
  • Clone Name
    DCA-22
  • Isotype
    IgG
  • Applications
    WB ICC/IF IHC-P FCM IP
  • Reactivity
    Human, Mouse, Rat
See all VCAM1 / CD106 products