VDAC1 antibody

Cat. No. GTX32961
Cat. No.  GTX32961
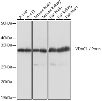
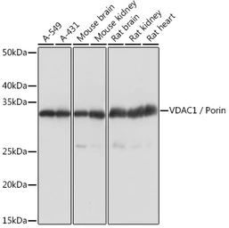
Anti-VDAC1 antibody used in Western Blot (WB). GTX32961
GTX32961 WB Image

WB analysis of various sample lysates using GTX32961 VDAC1 antibody.
Dilution : 1:1000
Loading : 25μg per lane

1 / 1
Anti-VDAC1 antibody used in Western Blot (WB). GTX32961
  • Host
    Rabbit
  • Clonality
    Polyclonal
  • Isotype
    IgG
  • Applications
    WB
  • Reactivity
    Human, Mouse, Rat
See all VDAC1 products