VDP / p115 antibody [C3], C-term

Cat. No. GTX106355
Cat. No.  GTX106355
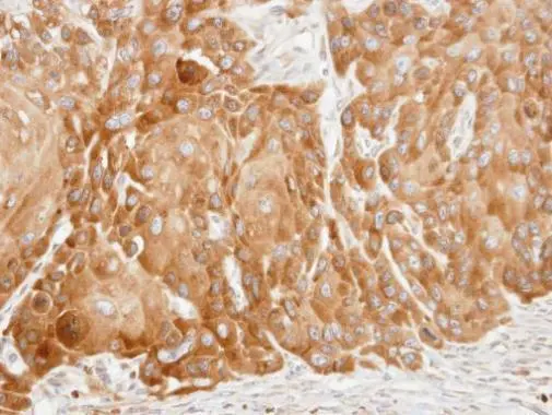
Anti-VDP / p115 antibody [C3], C-term used in IHC (Paraffin sections) (IHC-P). GTX106355
GTX106355 IHC-P Image

Immunohistochemical analysis of paraffin-embedded SCC15 xenograft, using VDP/p115(GTX106355) antibody at 1:100 dilution.
Antigen Retrieval: Trilogy™ (EDTA based, pH 8.0) buffer, 15min

1 / 2
Anti-VDP / p115 antibody [C3], C-term used in Western Blot (WB). GTX106355
GTX106355 WB Image

Sample (30 ug of whole cell lysate)
A: Hela
B: Hep G2 (GTX27900)
C: Molt-4 (GTX27912)
7.5% SDS PAGE
GTX106355 diluted at 1:10000

2 / 2
Anti-VDP / p115 antibody [C3], C-term used in IHC (Paraffin sections) (IHC-P). GTX106355
Anti-VDP / p115 antibody [C3], C-term used in Western Blot (WB). GTX106355
  • Host
    Rabbit
  • Clonality
    Polyclonal
  • Isotype
    IgG
  • Applications
    WB IHC-P
  • Reactivity
    Human
See all VDP / p115 products