VEGF Receptor 1 antibody

Cat. No. GTX22350
Cat. No.  GTX22350
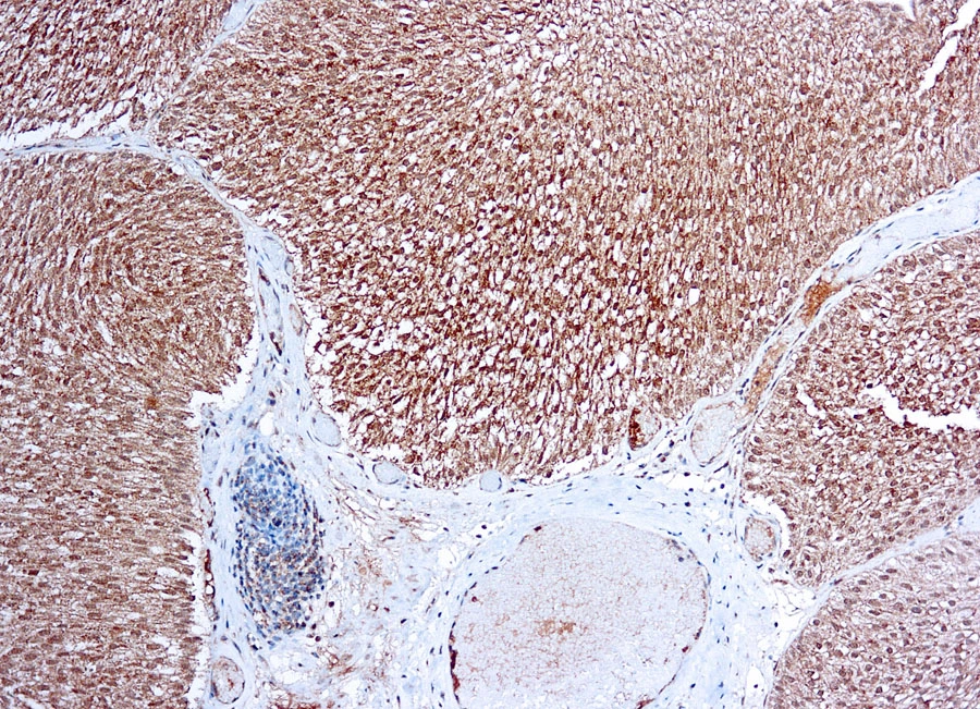
Anti-VEGF Receptor 1 antibody used in IHC (Paraffin sections) (IHC-P). GTX22350
GTX22350 IHC-P Image

IHC-P analysis of human angiosarcoma tissue using GTX22350 VEGF Receptor 1 antibody.

1 / 1
Anti-VEGF Receptor 1 antibody used in IHC (Paraffin sections) (IHC-P). GTX22350
  • Host
    Rabbit
  • Clonality
    Polyclonal
  • Isotype
    IgG
  • Applications
    IHC-P
  • Reactivity
    Human
See all VEGF Receptor 1 products