VEGF Receptor 2 antibody

Cat. No. GTX52395
Cat. No.  GTX52395
Anti-VEGF Receptor 2 antibody used in Activation/Stimulation/Induction (Activation). GTX52395
GTX52395 Activation Image

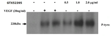
Activation assay analysis of HUVECs stimulated with 0.5, 1.0 and 2.0 μg/ml GTX52395 VEGF Receptor 2 antibody or 20ng/ml VEGF for 30mins. The phospho-VEGFR2 was detected with IP-Western for P-Tyrosine.

1 / 1
Anti-VEGF Receptor 2 antibody used in Activation/Stimulation/Induction (Activation). GTX52395
  • Host
    Goat
  • Clonality
    Polyclonal
  • Isotype
    IgG
  • Applications
    WB IP Activation
  • Reactivity
    Human
See all VEGF Receptor 2 products