VEGF165 + VEGF121 antibody [2B86]

Cat. No. GTX52462
Cat. No.  GTX52462
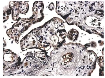
Anti-VEGF165 + VEGF121 antibody [2B86] used in IHC (Paraffin sections) (IHC-P). GTX52462
GTX52462 IHC-P Image

IHC-P analysis of formalin fixed human placenta tissue using GTX52462 VEGF165 + VEGF121 antibody [2B86].

1 / 1
Anti-VEGF165 + VEGF121 antibody [2B86] used in IHC (Paraffin sections) (IHC-P). GTX52462
  • Host
    Mouse
  • Clonality
    Monoclonal
  • Clone Name
    2B86
  • Isotype
    IgG2
  • Applications
    WB IHC-P
  • Reactivity
    Human
See all VEGFA products