VGluT1 antibody

Cat. No. GTX133148
Cat. No.  GTX133148
Anti-VGluT1 antibody used in Western Blot (WB). GTX133148
GTX133148 WB Image

Various tissue extracts (50 μg) were separated by 10% SDS-PAGE, and the membrane was blotted with VGluT1 antibody (GTX133148) diluted at 1:5000. The HRP-conjugated anti-rabbit IgG antibody (GTX213110-01) was used to detect the primary antibody.

1 / 10
Anti-VGluT1 antibody used in IHC (Paraffin sections) (IHC-P). GTX133148
GTX133148 IHC-P Image

VGluT1 antibody detects VGluT1 protein by immunohistochemical analysis.
Sample: Paraffin-embedded human tissues.
VGluT1 stained by VGluT1 antibody (GTX133148) diluted at 1:500.
Antigen Retrieval: Citrate buffer, pH 6.0, 15 min

2 / 10
Anti-VGluT1 antibody used in IHC (Paraffin sections) (IHC-P). GTX133148
GTX133148 IHC-P Image

VGluT1 antibody detects VGluT1 protein by immunohistochemical analysis.
Sample: Paraffin-embedded mouse hippocampus.
VGluT1 stained by VGluT1 antibody (GTX133148) diluted at 1:500.
Antigen Retrieval: Citrate buffer, pH 6.0, 15 min

3 / 10
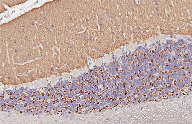
Anti-VGluT1 antibody used in IHC (Paraffin sections) (IHC-P). GTX133148
GTX133148 IHC-P Image

VGluT1 antibody detects VGluT1 protein by immunohistochemical analysis.
Sample: Paraffin-embedded rat cerebellum.
VGluT1 stained by VGluT1 antibody (GTX133148) diluted at 1:500.
Antigen Retrieval: Citrate buffer, pH 6.0, 15 min

4 / 10
Anti-VGluT1 antibody used in IHC (Paraffin sections) (IHC-P). GTX133148
GTX133148 IHC-P Image

VGluT1 antibody detects VGluT1 protein by immunohistochemical analysis.
Sample: Paraffin-embedded mouse cerebellum.
VGluT1 stained by VGluT1 antibody (GTX133148) diluted at 1:500.
Antigen Retrieval: Citrate buffer, pH 6.0, 15 min

5 / 10
Anti-VGluT1 antibody used in Western Blot (WB). GTX133148
GTX133148 WB Image

Boiled and unboiled rat tissue extract (50 μg) were separated by 7.5% SDS-PAGE, and the membrane was blotted with VGluT1 antibody (GTX133148) diluted at 1:5000. The HRP-conjugated anti-rabbit IgG antibody (GTX213110-01) was used to detect the primary antibody.

6 / 10
Anti-VGluT1 antibody used in Western Blot (WB). GTX133148
GTX133148 WB Image

Boiled and unboiled various tissue extracts (50 μg) were separated by 7.5% SDS-PAGE, and the membrane was blotted with VGluT1 antibody (GTX133148) diluted at 1:5000. The HRP-conjugated anti-rabbit IgG antibody (GTX213110-01) was used to detect the primary antibody.

7 / 10
Anti-VGluT1 antibody used in Immunocytochemistry/ Immunofluorescence (ICC/IF). GTX133148
GTX133148 ICC/IF Image

VGluT1 antibody detects VGluT1 protein by immunofluorescent analysis.
Sample: DIV10 rat E18 primary cortical neuron cells were fixed in 4% paraformaldehyde at RT for 15 min.
Green: VGluT1 stained by VGluT1 antibody (GTX133148) diluted at 1:500.
Red: Tau, stained by Tau antibody [GT287] (GTX634809) diluted at 1:500.
Blue: Fluoroshield with DAPI (GTX30920).

8 / 10
Anti-VGluT1 antibody used in IHC (Frozen sections) (IHC-Fr). GTX133148
GTX133148 IHC-Fr Image

VGluT1 antibody detects VGluT1 protein expression by immunohistochemical analysis.
Sample: Frozen-sectioned adult mouse cerebellum.
Green: VGluT1 protein stained by VGluT1 antibody (GTX133148) diluted at 1:250.
Red: beta Tubulin 3/ TUJ1, stained by beta Tubulin 3/ TUJ1 antibody [GT11710] (GTX631836) diluted at 1:500.
Blue: Fluoroshield with DAPI (GTX30920).

9 / 10
Anti-VGluT1 antibody used in Western Blot (WB). GTX133148
GTX133148 WB Image

Human tissue extract (30 μg) was separated by 7.5% SDS-PAGE, and the membrane was blotted with VGluT1 antibody (GTX133148) diluted at 1:1000. The HRP-conjugated anti-rabbit IgG antibody (GTX213110-01) was used to detect the primary antibody.

10 / 10
Anti-VGluT1 antibody used in Western Blot (WB). GTX133148
Anti-VGluT1 antibody used in IHC (Paraffin sections) (IHC-P). GTX133148
Anti-VGluT1 antibody used in IHC (Paraffin sections) (IHC-P). GTX133148
Anti-VGluT1 antibody used in IHC (Paraffin sections) (IHC-P). GTX133148
Anti-VGluT1 antibody used in IHC (Paraffin sections) (IHC-P). GTX133148
Anti-VGluT1 antibody used in Western Blot (WB). GTX133148
Anti-VGluT1 antibody used in Western Blot (WB). GTX133148
Anti-VGluT1 antibody used in Immunocytochemistry/ Immunofluorescence (ICC/IF). GTX133148
Anti-VGluT1 antibody used in IHC (Frozen sections) (IHC-Fr). GTX133148
Anti-VGluT1 antibody used in Western Blot (WB). GTX133148
  • Host
    Rabbit
  • Clonality
    Polyclonal
  • Isotype
    IgG
  • Applications
    WB ICC/IF IHC-P IHC-Fr
  • Reactivity
    Human, Mouse, Rat
See all VGluT1 products