VPS11 antibody

Cat. No. GTX107706
Cat. No.  GTX107706
Anti-VPS11 antibody used in Immunocytochemistry/ Immunofluorescence (ICC/IF). GTX107706
GTX107706 ICC/IF Image

VPS11 antibody detects VPS11 protein at cytoplasm by immunofluorescent analysis.
Sample: HeLa cells were fixed in -20ºC 100% MeOH for 5 min.
Green: VPS11 protein stained by VPS11 antibody (GTX107706) diluted at 1:500.
Blue: Hoechst 33343 staining.

1 / 3
Anti-VPS11 antibody used in Western Blot (WB). GTX107706
GTX107706 WB Image

Sample(30 μg of whole cell lysate)
A:293T
B:Hep G2(GTX27900)
7.5% SDS PAGE
GTX107706 diluted at 1:500

2 / 3
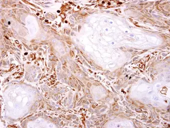
Anti-VPS11 antibody used in IHC (Paraffin sections) (IHC-P). GTX107706
GTX107706 IHC-P Image

VPS11 antibody detects VPS11 protein at cytosol on Ca922 xenograft by immunohistochemical analysis.
Sample: Paraffin-embedded Ca922 xenograft.
VPS11 antibody (GTX107706) dilution: 1:500.

Antigen Retrieval: Trilogy™ (EDTA based, pH 8.0) buffer, 15min

3 / 3
Anti-VPS11 antibody used in Immunocytochemistry/ Immunofluorescence (ICC/IF). GTX107706
Anti-VPS11 antibody used in Western Blot (WB). GTX107706
Anti-VPS11 antibody used in IHC (Paraffin sections) (IHC-P). GTX107706
  • Host
    Rabbit
  • Clonality
    Polyclonal
  • Isotype
    IgG
  • Applications
    WB ICC/IF IHC-P
  • Reactivity
    Human
See all VPS11 products