VRK1 antibody [1F6]

Cat. No. GTX79470
Cat. No.  GTX79470
Anti-VRK1 antibody [1F6] used in Western Blot (WB). GTX79470
GTX79470 WB Image

WB analysis of whole cell extracts (30 ug lysate) of HeLa (Lane 1), HEK 293 (Lane 2), MCF7 (Lane 3), and Jurkat (Lane 4) using GTX79470 VRK1 antibody [1F6].
Dilution : 1:500

1 / 10
Anti-VRK1 antibody [1F6] used in Western Blot (WB). GTX79470
GTX79470 WB Image

WB analysis of 25 μg of the indicated whole cell lysates using GTX79470 VRK1 antibody [1F6].
Dilution : 1:750

2 / 10
Anti-VRK1 antibody [1F6] used in IHC (Paraffin sections) (IHC-P). GTX79470
GTX79470 IHC-P Image

IHC-P analysis of human tonsil tissue using GTX79470 VRK1 antibody [1F6].
Right : Primary antibody
Left : Negative control without primary antibody
Antigen retrieval : heat induced antigen retrieval was performed using 10mM sodium citrate (pH 6.0) buffer microwaved for 8-15 minutes
Dilution : 1:200

3 / 10
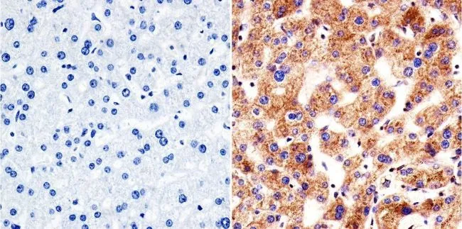
Anti-VRK1 antibody [1F6] used in IHC (Paraffin sections) (IHC-P). GTX79470
GTX79470 IHC-P Image

IHC-P analysis of human liver tissue using GTX79470 VRK1 antibody [1F6].
Right : Primary antibody
Left : Negative control without primary antibody
Antigen retrieval : heat induced antigen retrieval was performed using 10mM sodium citrate (pH 6.0) buffer microwaved for 8-15 minutes
Dilution : 1:200

4 / 10
Anti-VRK1 antibody [1F6] used in IHC (Paraffin sections) (IHC-P). GTX79470
GTX79470 IHC-P Image

IHC-P analysis of human testis tissue using GTX79470 VRK1 antibody [1F6].
Right : Primary antibody
Left : Negative control without primary antibody
Antigen retrieval : heat induced antigen retrieval was performed using 10mM sodium citrate (pH 6.0) buffer microwaved for 8-15 minutes
Dilution : 1:200

5 / 10
Anti-VRK1 antibody [1F6] used in Immunocytochemistry/ Immunofluorescence (ICC/IF). GTX79470
GTX79470 ICC/IF Image

ICC/IF analysis of HeLa cells using GTX79470 VRK1 antibody [1F6].
Fixation : Formalin
Permeabilization : 0.1% Triton X-100 in TBS for 10 minutes
Dilution : 1:100 for at least 1 hour at room temperature

6 / 10
Anti-VRK1 antibody [1F6] used in Immunocytochemistry/ Immunofluorescence (ICC/IF). GTX79470
GTX79470 ICC/IF Image

ICC/IF analysis of HeLa cells using GTX79470 VRK1 antibody [1F6]. Cells were probed without (left) or with(right) an antibody.
Green : Primary antibody
Blue : Nuclei
Red : Actin
Fixation : formaldehyde
Dilution : 1:200 overnight at 4ºC

7 / 10
Anti-VRK1 antibody [1F6] used in Immunocytochemistry/ Immunofluorescence (ICC/IF). GTX79470
GTX79470 ICC/IF Image

ICC/IF analysis of murine cells using GTX79470 VRK1 antibody [1F6].
Green : Primary antibody
Blue : Nuclei
Red : Actin
Fixation : formaldehyde
Dilution : 1:200 overnight at 4ºC

8 / 10
Anti-VRK1 antibody [1F6] used in Immunocytochemistry/ Immunofluorescence (ICC/IF). GTX79470
GTX79470 ICC/IF Image

ICC/IF analysis of U251 cells using GTX79470 VRK1 antibody [1F6]. Cells were probed without (left) or with(right) an antibody.
Green : Primary antibody
Blue : Nuclei
Red : Actin
Fixation : formaldehyde
Dilution : 1:200 overnight at 4ºC

9 / 10
Anti-VRK1 antibody [1F6] used in Immunocytochemistry/ Immunofluorescence (ICC/IF). GTX79470
GTX79470 ICC/IF Image

ICC/IF analysis of HeLa cells using GTX79470 VRK1 antibody [1F6]. Panel e is a no primary antibody control.
Green : Primary antibody
Blue : Nuclei
Red : Actin
Fixation : 4% paraformaldehyde
Permeabilization : 0.1% Triton X-100 for 10 minute
Dilution : 1:100 dilution in 0.1% BSA and incubated for 3 hours at room temperature

10 / 10
Anti-VRK1 antibody [1F6] used in Western Blot (WB). GTX79470
Anti-VRK1 antibody [1F6] used in Western Blot (WB). GTX79470
Anti-VRK1 antibody [1F6] used in IHC (Paraffin sections) (IHC-P). GTX79470
Anti-VRK1 antibody [1F6] used in IHC (Paraffin sections) (IHC-P). GTX79470
Anti-VRK1 antibody [1F6] used in IHC (Paraffin sections) (IHC-P). GTX79470
Anti-VRK1 antibody [1F6] used in Immunocytochemistry/ Immunofluorescence (ICC/IF). GTX79470
Anti-VRK1 antibody [1F6] used in Immunocytochemistry/ Immunofluorescence (ICC/IF). GTX79470
Anti-VRK1 antibody [1F6] used in Immunocytochemistry/ Immunofluorescence (ICC/IF). GTX79470
Anti-VRK1 antibody [1F6] used in Immunocytochemistry/ Immunofluorescence (ICC/IF). GTX79470
Anti-VRK1 antibody [1F6] used in Immunocytochemistry/ Immunofluorescence (ICC/IF). GTX79470
  • Host
    Mouse
  • Clonality
    Monoclonal
  • Clone Name
    1F6
  • Isotype
    IgG1
  • Applications
    WB ICC/IF IHC-P IHC
  • Reactivity
    Human, Mouse
See all VRK1 products