VWF antibody [36B11]

Cat. No. GTX01957
Cat. No.  GTX01957
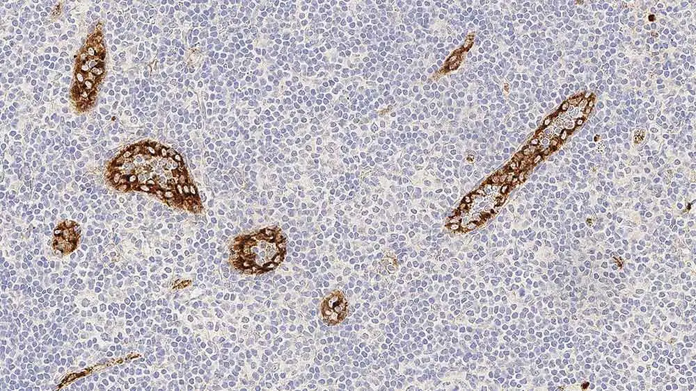
Anti-VWF antibody [36B11] used in IHC (Paraffin sections) (IHC-P). GTX01957
GTX01957 IHC-P Image

IHC-P analysis of human tonsil tissue using GTX01957 VWF antibody [36B11]. Note cytoplasmic staining of endothelial cells.

1 / 1
Anti-VWF antibody [36B11] used in IHC (Paraffin sections) (IHC-P). GTX01957
  • Host
    Mouse
  • Clonality
    Monoclonal
  • Clone Name
    36B11
  • Isotype
    IgG2a
  • Applications
    IHC-P
  • Reactivity
    Human
See all VWF products