Vimentin antibody [HL1506]

Cat. No. GTX636980
Cat. No.  GTX636980
Anti-Vimentin antibody [HL1506] used in Western Blot (WB). GTX636980
GTX636980 WB Image

Wild-type (WT) and Vimentin knockout (KO) HeLa cell extracts (30 μg) were separated by 10% SDS-PAGE, and the membrane was blotted with Vimentin antibody [HL1506] (GTX636980) diluted at 1:5000. The HRP-conjugated anti-rabbit IgG antibody (GTX213110-01) was used to detect the primary antibody.

1 / 13
Anti-Vimentin antibody [HL1506] used in Western Blot (WB). GTX636980
GTX636980 WB Image

Various whole cell extracts (30 μg) were separated by 10% SDS-PAGE, and the membranes were blotted with Vimentin antibody [HL1506] (GTX636980) diluted at 1:5000 and competitor's antibody (# Highly Cited Antibody) diluted at 1:5000. The HRP-conjugated anti-rabbit IgG antibody (GTX213110-01) was used to detect the primary antibody. *The competitor is not affiliated with GeneTex and does not endorse this product.

2 / 13
Anti-Vimentin antibody [HL1506] used in IHC (Paraffin sections) (IHC-P). GTX636980
GTX636980 IHC-P Image

Vimentin antibody [HL1506] detects Vimentin protein by immunohistochemical analysis.
Sample: Paraffin-embedded rat tissues.
Vimentin stained by Vimentin antibody [HL1506] (GTX636980) diluted at 1:100.
Antigen Retrieval: Citrate buffer, pH 6.0, 15 min

3 / 13
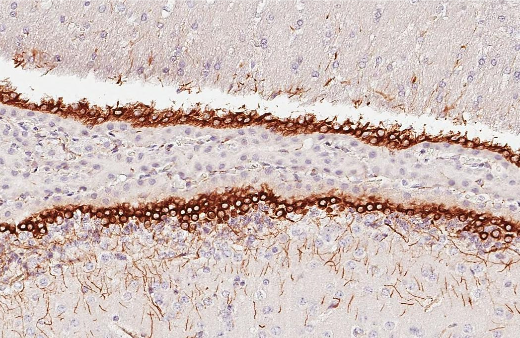
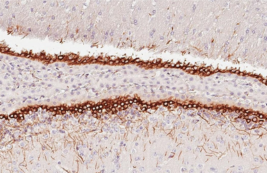
Anti-Vimentin antibody [HL1506] used in IHC (Paraffin sections) (IHC-P). GTX636980
GTX636980 IHC-P Image

Vimentin antibody [HL1506] detects Vimentin protein by immunohistochemical analysis.
Sample: Paraffin-embedded rat brain ventricle.
Vimentin stained by Vimentin antibody [HL1506] (GTX636980) diluted at 1:100.
Antigen Retrieval: Citrate buffer, pH 6.0, 15 min

4 / 13
Anti-Vimentin antibody [HL1506] used in Western Blot (WB). GTX636980
GTX636980 WB Image

Various whole cell extracts (30 μg) were separated by 10% SDS-PAGE, and the membrane was blotted with Vimentin antibody [HL1506] (GTX636980) diluted at 1:5000. The HRP-conjugated anti-rabbit IgG antibody (GTX213110-01) was used to detect the primary antibody. Corresponding RNA expression data for the same cell lines are based on Human Protein Atlas program.

5 / 13
Anti-Vimentin antibody [HL1506] used in IHC (Paraffin sections) (IHC-P). GTX636980
GTX636980 IHC-P Image

Vimentin antibody [HL1506] detects Vimentin protein at cytoplasm by immunohistochemical analysis.
Sample: Paraffin-embedded cat lymph node.
Vimentin stained by Vimentin antibody [HL1506] (GTX636980) diluted at 1:100.
Antigen Retrieval: Citrate buffer, pH 6.0, 15 min

6 / 13
Anti-Vimentin antibody [HL1506] used in IHC (Paraffin sections) (IHC-P). GTX636980
GTX636980 IHC-P Image

Vimentin antibody [HL1506] detects Vimentin protein by immunohistochemical analysis.
Sample: Paraffin-embedded mouse tissue.
Vimentin stained by Vimentin antibody [HL1506] (GTX636980) diluted at 1:100.
Antigen Retrieval: Citrate buffer, pH 6.0, 15 min

7 / 13
Anti-Vimentin antibody [HL1506] used in Immunocytochemistry/ Immunofluorescence (ICC/IF). GTX636980
GTX636980 ICC/IF Image

Vimentin antibody [HL1506] detects Vimentin protein at cytoskeleton and cell junction by immunofluorescent analysis.
Sample: HeLa cells were fixed in 4% paraformaldehyde at RT for 15 min.
Green: Vimentin stained by Vimentin antibody [HL1506] (GTX636980) diluted at 1:500.
Red: alpha Tubulin, a cytoskeleton marker, stained by alpha Tubulin antibody [GT114] (GTX628802) diluted at 1:1000.
Blue: Fluoroshield with DAPI (GTX30920).

8 / 13
Anti-Vimentin antibody [HL1506] used in Western Blot (WB). GTX636980
GTX636980 WB Image

Non-transfected (–) and transfected (+) 293T whole cell extracts (10 μg) were separated by 10% SDS-PAGE, and the membrane was blotted with Vimentin antibody [HL1506] (GTX636980) diluted at 1:25000. The HRP-conjugated anti-rabbit IgG antibody (GTX213110-01) was used to detect the primary antibody.

9 / 13
Anti-Vimentin antibody [HL1506] used in IHC (Paraffin sections) (IHC-P). GTX636980
GTX636980 IHC-P Image

Vimentin antibody [HL1506] detects Vimentin protein at cell membrane and cytoplasm by immunohistochemical analysis.
Sample: Paraffin-embedded human lung cancer.
Vimentin stained by Vimentin antibody [HL1506] (GTX636980) diluted at 1:100.
Antigen Retrieval: Citrate buffer, pH 6.0, 15 min

10 / 13
Anti-Vimentin antibody [HL1506] used in IHC (Paraffin sections) (IHC-P). GTX636980
GTX636980 IHC-P Image

Vimentin antibody [HL1506] detects Vimentin protein by immunohistochemical analysis.
Sample: Paraffin-embedded mouse eye.
Green: Vimentin stained by Vimentin antibody [HL1506] (GTX636980) diluted at 1:100.
Red: beta Tubulin 3/ Tuj1, a Cytoskeleton marker, stained by beta Tubulin 3/ Tuj1 antibody [GT11710] (GTX631836) diluted at 1:500.
Blue: Fluoroshield with DAPI (GTX30920).
Antigen Retrieval: Citrate buffer, pH 6.0, 15 min

11 / 13
Anti-Vimentin antibody [HL1506] used in Western Blot (WB). GTX636980
GTX636980 WB Image

Various whole cell extracts (30 μg) were separated by 10% SDS-PAGE, and the membrane was blotted with Vimentin antibody [HL1506] (GTX636980) diluted at 1:5000. The HRP-conjugated anti-rabbit IgG antibody (GTX213110-01) was used to detect the primary antibody, and the signal was developed with Trident ECL plus-Enhanced.

12 / 13
Anti-Vimentin antibody [HL1506] used in IHC (Paraffin sections) (IHC-P). GTX636980
GTX636980 IHC-P Image

Vimentin antibody [HL1506] detects Vimentin protein at cytoplasm by immunohistochemical analysis.
Sample: Paraffin-embedded human breast carcinoma.
Vimentin stained by Vimentin antibody [HL1506] (GTX636980) diluted at 1:500.
Antigen Retrieval: Citrate buffer, pH 6.0, 15 min

13 / 13
Anti-Vimentin antibody [HL1506] used in Western Blot (WB). GTX636980
Anti-Vimentin antibody [HL1506] used in Western Blot (WB). GTX636980
Anti-Vimentin antibody [HL1506] used in IHC (Paraffin sections) (IHC-P). GTX636980
Anti-Vimentin antibody [HL1506] used in IHC (Paraffin sections) (IHC-P). GTX636980
Anti-Vimentin antibody [HL1506] used in Western Blot (WB). GTX636980
Anti-Vimentin antibody [HL1506] used in IHC (Paraffin sections) (IHC-P). GTX636980
Anti-Vimentin antibody [HL1506] used in IHC (Paraffin sections) (IHC-P). GTX636980
Anti-Vimentin antibody [HL1506] used in Immunocytochemistry/ Immunofluorescence (ICC/IF). GTX636980
Anti-Vimentin antibody [HL1506] used in Western Blot (WB). GTX636980
Anti-Vimentin antibody [HL1506] used in IHC (Paraffin sections) (IHC-P). GTX636980
Anti-Vimentin antibody [HL1506] used in IHC (Paraffin sections) (IHC-P). GTX636980
Anti-Vimentin antibody [HL1506] used in Western Blot (WB). GTX636980
Anti-Vimentin antibody [HL1506] used in IHC (Paraffin sections) (IHC-P). GTX636980
  • Host
    Rabbit
  • Clonality
    Monoclonal
  • Clone Name
    HL1506
  • Isotype
    IgG
  • Applications
    WB ICC/IF IHC-P
  • Reactivity
    Human, Mouse, Rat, Cat
See all Vimentin products