Vimentin antibody [LN-6]

Cat. No. GTX35162
Cat. No.  GTX35162
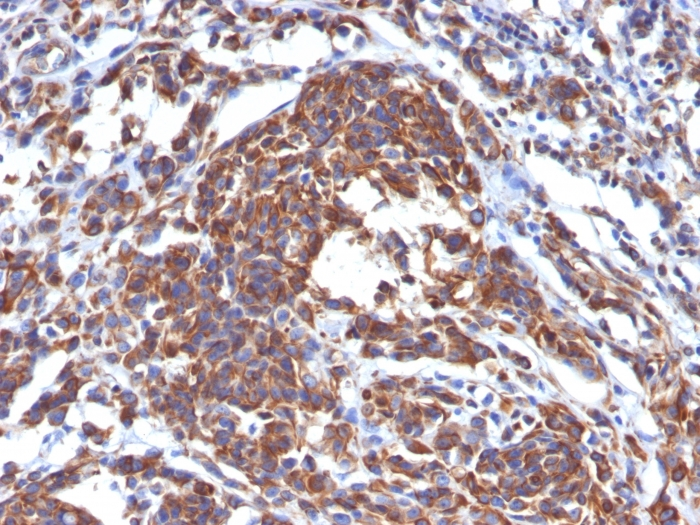
Anti-Vimentin antibody [LN-6] used in IHC (Paraffin sections) (IHC-P). GTX35162
GTX35162 IHC-P Image

IHC-P analysis of human melanoma tissue using GTX35162 Vimentin antibody [LN-6].

1 / 1
Anti-Vimentin antibody [LN-6] used in IHC (Paraffin sections) (IHC-P). GTX35162
  • Host
    Mouse
  • Clonality
    Monoclonal
  • Clone Name
    LN-6
  • Isotype
    IgM
  • Applications
    IHC-P FCM
  • Reactivity
    Human, Mouse, Rat, Rabbit, Sheep, Bovine, Cat, Pig
See all Vimentin products