Vinculin antibody [N3C1], Internal

Cat. No. GTX109749
Cat. No.  GTX109749
Anti-Vinculin antibody [N3C1], Internal used in Western Blot (WB). GTX109749
GTX109749 WB Image

Various whole cell extracts (30 μg) were separated by 5% SDS-PAGE, and the membrane was blotted with Vinculin antibody [N3C1], Internal (GTX109749) diluted at 1:1000. The HRP-conjugated anti-rabbit IgG antibody (GTX213110-01) was used to detect the primary antibody. Corresponding RNA expression data for the same cell lines are based on Human Protein Atlas program.

1 / 9
Anti-Vinculin antibody [N3C1], Internal used in Western Blot (WB). GTX109749
GTX109749 WB Image

Mouse tissue extract (50 μg) was separated by 5% SDS-PAGE, and the membrane was blotted with Vinculin antibody [N3C1], Internal (GTX109749) diluted at 1:1000.

2 / 9
Anti-Vinculin antibody [N3C1], Internal used in Western Blot (WB). GTX109749
GTX109749 WB Image

Various whole cell extracts (30 μg) were separated by 5% SDS-PAGE, and the membrane was blotted with Vinculin antibody [N3C1], Internal (GTX109749) diluted at 1:1000. The HRP-conjugated anti-rabbit IgG antibody (GTX213110-01) was used to detect the primary antibody.

3 / 9
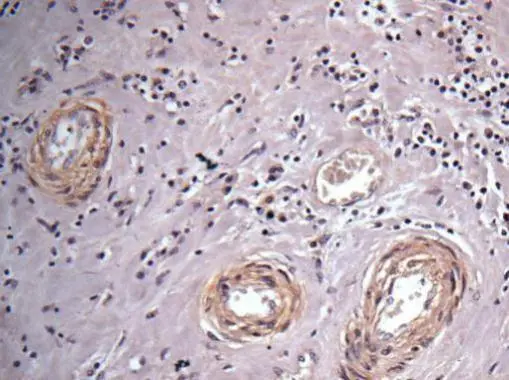
Anti-Vinculin antibody [N3C1], Internal used in IHC (Paraffin sections) (IHC-P). GTX109749
GTX109749 IHC-P Image

Immunohistochemical analysis of human breast cancerncer, using Vinculin(GTX109749) antibody at 1:100 dilution.
Antigen Retrieval: Trilogy™ (EDTA based, pH 8.0) buffer, 15min

4 / 9
Anti-Vinculin antibody [N3C1], Internal used in Western Blot (WB). GTX109749
GTX109749 WB Image

Vinculin antibody [N3C1], Internal detects VCL protein by Western blot analysis.
A. 30 μg PC-12 whole cell lysate/extract
B. 30 μg Rat2 whole cell lysate/extract
5 % SDS-PAGE
Vinculin antibody [N3C1], Internal (GTX109749) dilution: 1:1000

5 / 9
Anti-Vinculin antibody [N3C1], Internal used in Western Blot (WB). GTX109749
GTX109749 WB Image

The data was published in the journal Sci Rep in 2019.PMID: 31892709

6 / 9
Anti-Vinculin antibody [N3C1], Internal used in Western Blot (WB). GTX109749
GTX109749 WB Image

The data was published in the 2022 in Pharmaceuticals (Basel). PMID: 35215353

7 / 9
Anti-Vinculin antibody [N3C1], Internal used in Western Blot (WB). GTX109749
GTX109749 WB Image

The data was published in the 2022 in Pharmaceuticals (Basel). PMID: 35215353

8 / 9
Anti-Vinculin antibody [N3C1], Internal used in Western Blot (WB). GTX109749
GTX109749 WB Image

The data was published in the 2022 in Pharmaceuticals (Basel). PMID: 35215353

9 / 9
Anti-Vinculin antibody [N3C1], Internal used in Western Blot (WB). GTX109749
Anti-Vinculin antibody [N3C1], Internal used in Western Blot (WB). GTX109749
Anti-Vinculin antibody [N3C1], Internal used in Western Blot (WB). GTX109749
Anti-Vinculin antibody [N3C1], Internal used in IHC (Paraffin sections) (IHC-P). GTX109749
Anti-Vinculin antibody [N3C1], Internal used in Western Blot (WB). GTX109749
Anti-Vinculin antibody [N3C1], Internal used in Western Blot (WB). GTX109749
Anti-Vinculin antibody [N3C1], Internal used in Western Blot (WB). GTX109749
Anti-Vinculin antibody [N3C1], Internal used in Western Blot (WB). GTX109749
Anti-Vinculin antibody [N3C1], Internal used in Western Blot (WB). GTX109749
  • Host
    Rabbit
  • Clonality
    Polyclonal
  • Isotype
    IgG
  • Applications
    WB IHC-P
  • Reactivity
    Human, Mouse, Rat, Pig
See all Vinculin products