Vinculin (phospho Tyr822) antibody

Cat. No. GTX54519
Cat. No.  GTX54519
Anti-Vinculin (phospho Tyr822) antibody used in Western Blot (WB). GTX54519
GTX54519 WB Image

WB (peptide competition) analysis of CEFs left untransfected (Lane 1) or transfected with Src (Lane 2-5) using GTX54519 Vinculin (phospho Tyr822) antibody prior incubated with the non-phosphopeptide corresponding to the immunogen (Lane 3), a generic phosphotyrosine-containing peptide (Lane 4), or, the phosphopeptide immunogen (Lane 5). The data show that only the immunogen phosphopeptide blocks the signal, demonstrating the specificity of the antibody.

1 / 3
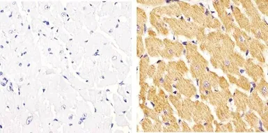
Anti-Vinculin (phospho Tyr822) antibody used in IHC (Paraffin sections) (IHC-P). GTX54519
GTX54519 IHC-P Image

IHC-P analysis of rat heart tissue using GTX54519 Vinculin (phospho Tyr822) antibody.
Right : Primary antibody
Left : Negative control without primary antibody
Antigen retrieval : 10mM sodium citrate (pH 6.0), microwaved for 8-15 min
Dilution : 1:20

2 / 3
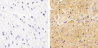
Anti-Vinculin (phospho Tyr822) antibody used in IHC (Paraffin sections) (IHC-P). GTX54519
GTX54519 IHC-P Image

IHC-P analysis of mouse heart tissue using GTX54519 Vinculin (phospho Tyr822) antibody.
Right : Primary antibody
Left : Negative control without primary antibody
Antigen retrieval : 10mM sodium citrate (pH 6.0), microwaved for 8-15 min
Dilution : 1:20

3 / 3
Anti-Vinculin (phospho Tyr822) antibody used in Western Blot (WB). GTX54519
Anti-Vinculin (phospho Tyr822) antibody used in IHC (Paraffin sections) (IHC-P). GTX54519
Anti-Vinculin (phospho Tyr822) antibody used in IHC (Paraffin sections) (IHC-P). GTX54519
  • Host
    Rabbit
  • Clonality
    Polyclonal
  • Isotype
    IgG
  • Applications
    WB IHC-P
  • Reactivity
    Human, Mouse, Rat, Chicken
See all Vinculin products