WAVE1 (phospho Tyr125) antibody

Cat. No. GTX55451
Cat. No.  GTX55451
Anti-WAVE1 (phospho Tyr125) antibody used in Western Blot (WB). GTX55451
GTX55451 WB Image

WB analysis of extracts from NIH/3T3 cells treated with Insulin (0.01U/ml 15mins) using GTX55451 WAVE1 (phospho Tyr125) antibody.
Left : Primary antibody
Right : Primary antibody pre-incubated with the antigen specific peptide

1 / 2
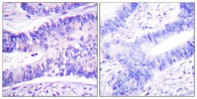
Anti-WAVE1 (phospho Tyr125) antibody used in IHC (Paraffin sections) (IHC-P). GTX55451
GTX55451 IHC-P Image

IHC-P analysis of human colon carcinoma tissue using GTX55451 WAVE1 (phospho Tyr125) antibody.
Left : Primary antibody
Right : Primary antibody pre-incubated with the antigen specific peptide

2 / 2
Anti-WAVE1 (phospho Tyr125) antibody used in Western Blot (WB). GTX55451
Anti-WAVE1 (phospho Tyr125) antibody used in IHC (Paraffin sections) (IHC-P). GTX55451
  • Host
    Rabbit
  • Clonality
    Polyclonal
  • Isotype
    IgG
  • Applications
    WB IHC-P
  • Reactivity
    Human, Mouse
See all WAVE1 products