WDR74 antibody

Cat. No. GTX31408
Cat. No.  GTX31408
Anti-WDR74 antibody used in Western Blot (WB). GTX31408
GTX31408 WB Image

WB analysis of mouse liver tissue lysate using GTX31408 WDR74 antibody.
Working concentration : (A) 1 and (B) 2 μg/ml

1 / 3
Anti-WDR74 antibody used in IHC (Paraffin sections) (IHC-P). GTX31408
GTX31408 IHC-P Image

IHC-P analysis of rat liver tissue using GTX31408 WDR74 antibody.
Working concentration : 5 μg/ml

2 / 3
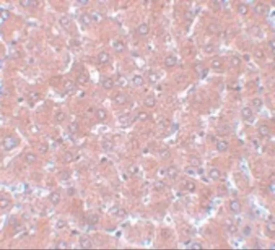
Anti-WDR74 antibody used in IHC (Paraffin sections) (IHC-P). GTX31408
GTX31408 IHC-P Image

IHC-P analysis of rat liver tissue using GTX31408 WDR74 antibody.
Working concentration : 20 μg/ml

3 / 3
Anti-WDR74 antibody used in Western Blot (WB). GTX31408
Anti-WDR74 antibody used in IHC (Paraffin sections) (IHC-P). GTX31408
Anti-WDR74 antibody used in IHC (Paraffin sections) (IHC-P). GTX31408
  • Host
    Rabbit
  • Clonality
    Polyclonal
  • Isotype
    IgG
  • Applications
    WB IHC-P ELISA
  • Reactivity
    Human, Mouse, Rat
See all WDR74 products