WDSUB1 antibody

Cat. No. GTX116382
Cat. No.  GTX116382
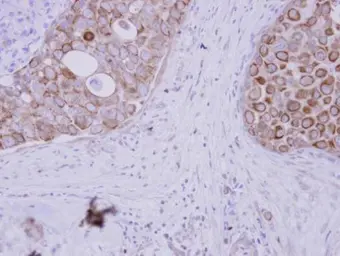
Anti-WDSUB1 antibody used in IHC (Paraffin sections) (IHC-P). GTX116382
GTX116382 IHC-P Image

Immunohistochemical analysis of paraffin-embedded human breast cancer, using WDSUB1(GTX116382) antibody at 1:500 dilution.
Antigen Retrieval: Trilogy™ (EDTA based, pH 8.0) buffer, 15min

1 / 3
Anti-WDSUB1 antibody used in Western Blot (WB). GTX116382
GTX116382 WB Image

Sample (30 ug of whole cell lysate)
A: MCF-7
10% SDS PAGE
GTX116382 diluted at 1:2000

2 / 3
Anti-WDSUB1 antibody used in Immunocytochemistry/ Immunofluorescence (ICC/IF). GTX116382
GTX116382 ICC/IF Image

WDSUB1 antibody detects WDSUB1 protein at cytoplasm by immunofluorescent analysis.
Sample: MCF-7 cells were fixed in 4% paraformaldehyde at RT for 15 min.
Green: WDSUB1 protein stained by WDSUB1 antibody (GTX116382) diluted at 1:500.
Blue: Hoechst 33342 staining.

3 / 3
Anti-WDSUB1 antibody used in IHC (Paraffin sections) (IHC-P). GTX116382
Anti-WDSUB1 antibody used in Western Blot (WB). GTX116382
Anti-WDSUB1 antibody used in Immunocytochemistry/ Immunofluorescence (ICC/IF). GTX116382
  • Host
    Rabbit
  • Clonality
    Polyclonal
  • Isotype
    IgG
  • Applications
    WB ICC/IF IHC-P
  • Reactivity
    Human
See all WDSUB1 products