WRCH1 antibody

Cat. No. GTX104779
Cat. No.  GTX104779
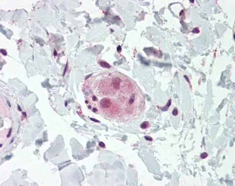
Anti-WRCH1 antibody used in IHC (Paraffin sections) (IHC-P). GTX104779
GTX104779 IHC-P Image

RHOU antibody detects RHOU protein at cytoplasm on human placenta by immunohistochemical analysis.
Sample: Paraffin-embedded placenta.
RHOU antibody (GTX104779) dilution: 1:100.

Antigen Retrieval: Trilogy™ (EDTA based, pH 8.0) buffer, 15min

1 / 1
Anti-WRCH1 antibody used in IHC (Paraffin sections) (IHC-P). GTX104779
  • Host
    Rabbit
  • Clonality
    Polyclonal
  • Isotype
    IgG
  • Applications
    IHC-P
  • Reactivity
    Human
See all WRCH1 products