Wnt8a antibody [HL1648]

Cat. No. GTX637229
Cat. No.  GTX637229
Anti-Wnt8a antibody [HL1648] used in Immunocytochemistry/ Immunofluorescence (ICC/IF). GTX637229
GTX637229 ICC/IF Image

Wnt8a antibody [HL1648] detects Wnt8a protein by immunofluorescent analysis.
Sample: Mock and transfected 293T cells were fixed in 4% paraformaldehyde at RT for 15 min.
Green: Wnt8a stained by Wnt8a antibody [HL1648] (GTX637229) diluted at 1:500.
Blue: Fluoroshield with DAPI (GTX30920).
Scale bar= 10μm.

1 / 4
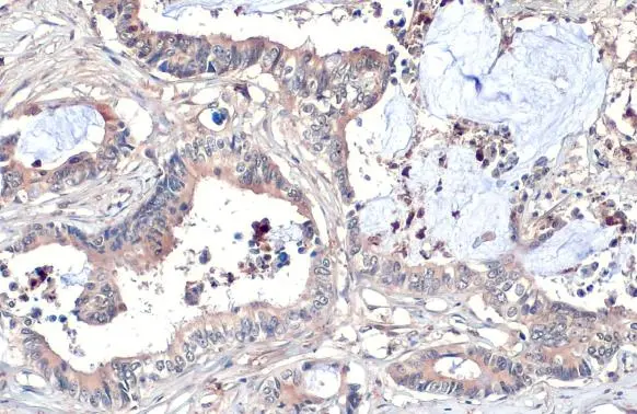
Anti-Wnt8a antibody [HL1648] used in IHC (Paraffin sections) (IHC-P). GTX637229
GTX637229 IHC-P Image

Wnt8a antibody [HL1648] detects Wnt8a protein at cytoplasm by immunohistochemical analysis.
Sample: Paraffin-embedded human colon cancer.
Wnt8a stained by Wnt8a antibody [HL1648] (GTX637229) diluted at 1:100.
Antigen Retrieval: Citrate buffer, pH 6.0, 15 min

2 / 4
Anti-Wnt8a antibody [HL1648] used in Western Blot (WB). GTX637229
GTX637229 WB Image

Whole zebrafish extract (30 μg) was separated by 10% SDS-PAGE, and the membrane was blotted with Wnt8a antibody [HL1648] (GTX637229) diluted at 1:1000. The HRP-conjugated anti-rabbit IgG antibody (GTX213110-01) was used to detect the primary antibody, and the signal was developed with Trident ECL plus-Enhanced.

3 / 4
Anti-Wnt8a antibody [HL1648] used in Western Blot (WB). GTX637229
GTX637229 WB Image

Non-transfected (–) and transfected (+) 293T whole cell extracts were separated by 10% SDS-PAGE, and the membrane was blotted with Wnt8a antibody [HL1648] (GTX637229) diluted at 1:5000. The HRP-conjugated anti-rabbit IgG antibody (GTX213110-01) was used to detect the primary antibody.

4 / 4
Anti-Wnt8a antibody [HL1648] used in Immunocytochemistry/ Immunofluorescence (ICC/IF). GTX637229
Anti-Wnt8a antibody [HL1648] used in IHC (Paraffin sections) (IHC-P). GTX637229
Anti-Wnt8a antibody [HL1648] used in Western Blot (WB). GTX637229
Anti-Wnt8a antibody [HL1648] used in Western Blot (WB). GTX637229
  • Host
    Rabbit
  • Clonality
    Monoclonal
  • Clone Name
    HL1648
  • Isotype
    IgG
  • Applications
    WB ICC/IF IHC-P
  • Reactivity
    Human, Zebrafish
See all Wnt8a products