YAP1 antibody

Cat. No. GTX130444
Cat. No.  GTX130444
Anti-YAP1 antibody used in Western Blot (WB). GTX130444
GTX130444 WB Image

Non-transfected (–) and transfected (+) HeLa whole cell extracts (30 μg) were separated by 10% SDS-PAGE, and the membrane was blotted with YAP1 antibody (GTX130444) diluted at 1:500.

1 / 6
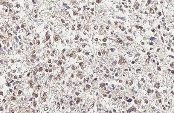
Anti-YAP1 antibody used in IHC (Paraffin sections) (IHC-P). GTX130444
GTX130444 IHC-P Image

YAP1 antibody detects YAP1 protein at cytoplasm and nucleus by immunohistochemical analysis.
Sample: Paraffin-embedded human glioblastoma.
YAP1 stained by YAP1 antibody (GTX130444) diluted at 1:500.
Antigen Retrieval: Citrate buffer, pH 6.0, 15 min

2 / 6
Anti-YAP1 antibody used in Western Blot (WB). GTX130444
GTX130444 WB Image

YAP1 antibody detects YAP1 protein by western blot analysis. Various whole cell extracts (30 μg) were separated by 10% SDS-PAGE, and the membrane was blotted with YAP1 antibody (GTX130444) diluted by 1:1000.

3 / 6
Anti-YAP1 antibody used in Immunoprecipitation (IP). GTX130444
GTX130444 IP Image

Immunoprecipitation of YAP1 protein from HeLa whole cell extracts using 5 μg of YAP1 antibody (GTX130444).
Western blot analysis was performed using YAP1 antibody (GTX130444).
EasyBlot anti-Rabbit IgG (GTX221666-01) was used as a secondary reagent.

4 / 6
Anti-YAP1 antibody used in Western Blot (WB). GTX130444
GTX130444 WB Image

Non-transfected (–) and transfected (+) 293T whole cell extracts (30 μg) were separated by 10% SDS-PAGE, and the membrane was blotted with YAP1 antibody (GTX130444) diluted at 1:1000. The HRP-conjugated anti-rabbit IgG antibody (GTX213110-01) was used to detect the primary antibody.

5 / 6
Anti-YAP1 antibody used in Western Blot (WB). GTX130444
GTX130444 WB Image

Various tissue extracts (30 μg) were separated by 10% SDS-PAGE, and the membrane was blotted with YAP1 antibody (GTX130444) diluted at 1:1000.

6 / 6
Anti-YAP1 antibody used in Western Blot (WB). GTX130444
Anti-YAP1 antibody used in IHC (Paraffin sections) (IHC-P). GTX130444
Anti-YAP1 antibody used in Western Blot (WB). GTX130444
Anti-YAP1 antibody used in Immunoprecipitation (IP). GTX130444
Anti-YAP1 antibody used in Western Blot (WB). GTX130444
Anti-YAP1 antibody used in Western Blot (WB). GTX130444
  • Host
    Rabbit
  • Clonality
    Polyclonal
  • Isotype
    IgG
  • Applications
    WB IHC-P IP
  • Reactivity
    Human, Zebrafish
See all YAP1 products