YAP1 antibody

Cat. No. GTX35195
Cat. No.  GTX35195
Anti-YAP1 antibody used in IHC (Paraffin sections) (IHC-P). GTX35195
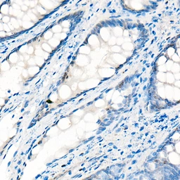
GTX35195 IHC-P Image

IHC-P analysis of human colon (low expression) tissue using GTX35195 YAP1 antibody.
Antigen retrieval : High pressure antigen retrieval performed with 0.01M Citrate buffer (pH 6.0)
Dilution : 1:1000

1 / 8
Anti-YAP1 antibody used in Immunocytochemistry/ Immunofluorescence (ICC/IF). GTX35195
GTX35195 ICC/IF Image

ICC/IF analysis of U2OS cells using GTX35195 YAP1 antibody by Confocal microscopy.
Orange : Primary antibody
Blue : DAPI
Dilution : 1:200

2 / 8
Anti-YAP1 antibody used in IHC (Paraffin sections) (IHC-P). GTX35195
GTX35195 IHC-P Image

IHC-P analysis of human liver cancer tissue using GTX35195 YAP1 antibody.
Antigen retrieval : High pressure antigen retrieval performed with 0.01M Citrate buffer (pH 6.0)
Dilution : 1:1000

3 / 8
Anti-YAP1 antibody used in IHC (Paraffin sections) (IHC-P). GTX35195
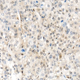
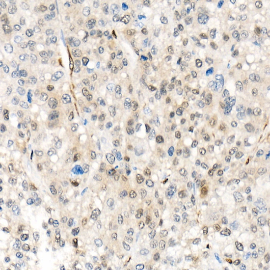
GTX35195 IHC-P Image

IHC-P analysis of human colon carcinoma tissue using GTX35195 YAP1 antibody.
Antigen retrieval : High pressure antigen retrieval performed with 0.01M Citrate buffer (pH 6.0)
Dilution : 1:1000

4 / 8
Anti-YAP1 antibody used in Western Blot (WB). GTX35195
GTX35195 WB Image

WB analysis of normal (control) and knockout (KO) HeLa cell lysate using GTX35195 YAP1 antibody.
Dilution : 1:2000
Loading : 25μg per lane

5 / 8
Anti-YAP1 antibody used in Immunocytochemistry/ Immunofluorescence (ICC/IF). GTX35195
GTX35195 ICC/IF Image

ICC/IF analysis of U2OS cells using GTX35195 YAP1 antibody by Confocal microscopy.
Orange : Primary antibody
Blue : DAPI
Dilution : 1:100

6 / 8
Anti-YAP1 antibody used in Immunocytochemistry/ Immunofluorescence (ICC/IF). GTX35195
GTX35195 ICC/IF Image

ICC/IF analysis of NIH/3T3 cells using GTX35195 YAP1 antibody.
Orange : Primary antibody
Blue : DAPI
Dilution : 1:100

7 / 8
Anti-YAP1 antibody used in Immunoprecipitation (IP). GTX35195
GTX35195 IP Image

IP analysis of HeLa cell lysate using GTX35195 YAP1 antibody.
Antibody amount : 3μg / 200μg lysate
Dilution : 1:1000

8 / 8
Anti-YAP1 antibody used in IHC (Paraffin sections) (IHC-P). GTX35195
Anti-YAP1 antibody used in Immunocytochemistry/ Immunofluorescence (ICC/IF). GTX35195
Anti-YAP1 antibody used in IHC (Paraffin sections) (IHC-P). GTX35195
Anti-YAP1 antibody used in IHC (Paraffin sections) (IHC-P). GTX35195
Anti-YAP1 antibody used in Western Blot (WB). GTX35195
Anti-YAP1 antibody used in Immunocytochemistry/ Immunofluorescence (ICC/IF). GTX35195
Anti-YAP1 antibody used in Immunocytochemistry/ Immunofluorescence (ICC/IF). GTX35195
Anti-YAP1 antibody used in Immunoprecipitation (IP). GTX35195
  • Host
    Rabbit
  • Clonality
    Polyclonal
  • Isotype
    IgG
  • Applications
    WB ICC/IF IHC-P IP
  • Reactivity
    Human, Mouse
See all YAP1 products