YAP1 (phospho Ser127) antibody

Cat. No. GTX04728
Cat. No.  GTX04728
Anti-YAP1 (phospho Ser127) antibody used in Western Blot (WB). GTX04728
GTX04728 WB Image

WB analysis of UV-treated MCF-7 whole cell lysate using GTX04728 YAP1 (phospho Ser127) antibody. The lane on the left was treated with blocking peptide.

1 / 4
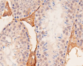
Anti-YAP1 (phospho Ser127) antibody used in IHC (Paraffin sections) (IHC-P). GTX04728
GTX04728 IHC-P Image

IHC-P analysis of mouse kidney tissue using GTX04728 YAP1 (phospho Ser127) antibody.
Antigen retrieval : Heat mediated citrate buffer
Dilution : 1:100

2 / 4
Anti-YAP1 (phospho Ser127) antibody used in IHC (Paraffin sections) (IHC-P). GTX04728
GTX04728 IHC-P Image

IHC-P analysis of mouse liver tissue using GTX04728 YAP1 (phospho Ser127) antibody.
Antigen retrieval : Heat mediated citrate buffer
Dilution : 1:100

3 / 4
Anti-YAP1 (phospho Ser127) antibody used in ELISA (ELISA). GTX04728
GTX04728 ELISA Image

ELISA analysis of phospho- and non phosho- immunogen peptide using serial diluted GTX04728 YAP1 (phospho Ser127) antibody.
P-peptide : phospho-peptide
N-peptide : non-phospho-peptide
Peptides concentration : 1 μg/mL

4 / 4
Anti-YAP1 (phospho Ser127) antibody used in Western Blot (WB). GTX04728
Anti-YAP1 (phospho Ser127) antibody used in IHC (Paraffin sections) (IHC-P). GTX04728
Anti-YAP1 (phospho Ser127) antibody used in IHC (Paraffin sections) (IHC-P). GTX04728
Anti-YAP1 (phospho Ser127) antibody used in ELISA (ELISA). GTX04728
  • Host
    Rabbit
  • Clonality
    Polyclonal
  • Isotype
    IgG
  • Applications
    WB ICC/IF IHC-P ELISA
  • Reactivity
    Human, Mouse, Rat
See all YAP1 products