ZAP70 (phospho Tyr493) antibody

Cat. No. GTX78921
Cat. No.  GTX78921
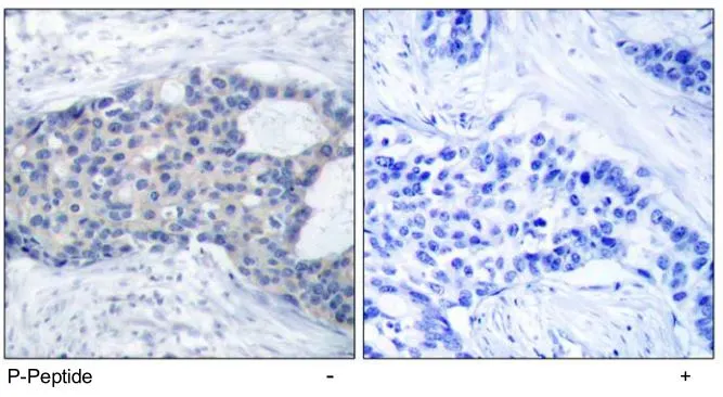
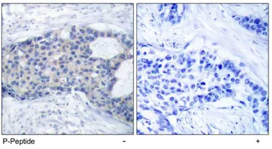
Anti-ZAP70 (phospho Tyr493) antibody used in IHC (Paraffin sections) (IHC-P). GTX78921
GTX78921 IHC-P Image

IHC-P analysis of human breast carcinoma tissue using GTX78921 ZAP70 (phospho Tyr493) antibody.

1 / 1
Anti-ZAP70 (phospho Tyr493) antibody used in IHC (Paraffin sections) (IHC-P). GTX78921
  • Host
    Rabbit
  • Clonality
    Polyclonal
  • Isotype
    IgG
  • Applications
    IHC-P
  • Reactivity
    Human
See all ZAP70 products