ZDHHC20 antibody

Cat. No. GTX04833
Cat. No.  GTX04833
Anti-ZDHHC20 antibody used in Immunocytochemistry/ Immunofluorescence (ICC/IF). GTX04833
GTX04833 ICC/IF Image

ICC/IF analysis of PFA-fixed HeLa cells using GTX04833 ZDHHC20 antibody.
Red : Primary antibody
Green : Beta tubulin
Blue : DAPI
Permeabilization : 0.1% Triton X-100

1 / 3
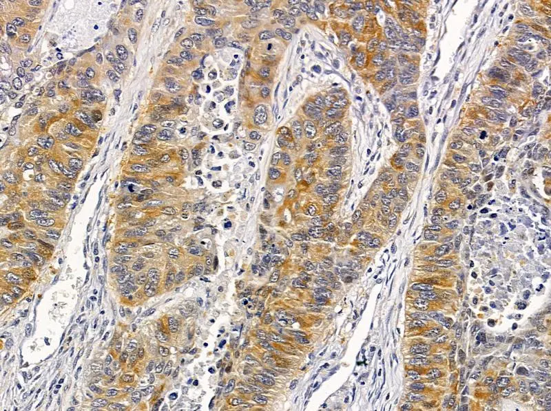
Anti-ZDHHC20 antibody used in IHC (Paraffin sections) (IHC-P). GTX04833
GTX04833 IHC-P Image

IHC-P analysis of human lung cancer and para-carcinoma tissue using GTX04833 ZDHHC20 antibody.
Antigen retrieval : Heat mediated citrate buffer
Dilution : 1:100

2 / 3
Anti-ZDHHC20 antibody used in Western Blot (WB). GTX04833
GTX04833 WB Image

WB analysis of COLO 205 whole cell lysate using GTX04833 ZDHHC20 antibody.

3 / 3
Anti-ZDHHC20 antibody used in Immunocytochemistry/ Immunofluorescence (ICC/IF). GTX04833
Anti-ZDHHC20 antibody used in IHC (Paraffin sections) (IHC-P). GTX04833
Anti-ZDHHC20 antibody used in Western Blot (WB). GTX04833
  • Host
    Rabbit
  • Clonality
    Polyclonal
  • Isotype
    IgG
  • Applications
    WB ICC/IF IHC-P
  • Reactivity
    Human
See all ZDHHC20 products