ZER1 antibody [C2C3], C-term

Cat. No. GTX106983
Cat. No.  GTX106983
Anti-ZER1 antibody [C2C3], C-term used in Western Blot (WB). GTX106983
GTX106983 WB Image

Various whole cell extracts (30 μg) were separated by 7.5% SDS-PAGE, and the membrane was blotted with ZER1 antibody [C2C3], C-term (GTX106983) diluted at 1:500. The HRP-conjugated anti-rabbit IgG antibody (GTX213110-01) was used to detect the primary antibody.

1 / 3
Anti-ZER1 antibody [C2C3], C-term used in Western Blot (WB). GTX106983
GTX106983 WB Image

Sample (50 ug of whole cell lysate)
A: Mouse brain
7.5% SDS PAGE
GTX106983 diluted at 1:1000

2 / 3
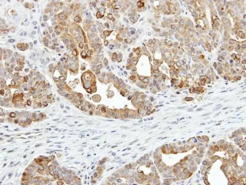
Anti-ZER1 antibody [C2C3], C-term used in IHC (Paraffin sections) (IHC-P). GTX106983
GTX106983 IHC-P Image

Immunohistochemical analysis of paraffin-embedded NCI-N87 xenograft, using ZER1(GTX106983) antibody at 1:500 dilution.
Antigen Retrieval: Citrate buffer, pH 6.0, 15 min

3 / 3
Anti-ZER1 antibody [C2C3], C-term used in Western Blot (WB). GTX106983
Anti-ZER1 antibody [C2C3], C-term used in Western Blot (WB). GTX106983
Anti-ZER1 antibody [C2C3], C-term used in IHC (Paraffin sections) (IHC-P). GTX106983
  • Host
    Rabbit
  • Clonality
    Polyclonal
  • Isotype
    IgG
  • Applications
    WB IHC-P
  • Reactivity
    Human, Mouse
See all ZER1 products