ZIP3 antibody

Cat. No. GTX85133
Cat. No.  GTX85133
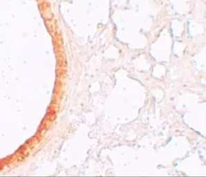
Anti-ZIP3 antibody used in IHC (Paraffin sections) (IHC-P). GTX85133
GTX85133 IHC-P Image

IHC-P analysis of mouse lung tissue using GTX85133 ZIP3 antibody.
Working concentration : 5 μg/ml

1 / 2
Anti-ZIP3 antibody used in Western Blot (WB). GTX85133
GTX85133 WB Image

WB analysis of mouse lung tissue lysate in (A) the absence and (B) the presence of blocking peptide using GTX85133 ZIP3 antibody.
Working concentration : 1 μg/ml

2 / 2
Anti-ZIP3 antibody used in IHC (Paraffin sections) (IHC-P). GTX85133
Anti-ZIP3 antibody used in Western Blot (WB). GTX85133
  • Host
    Rabbit
  • Clonality
    Polyclonal
  • Isotype
    IgG
  • Applications
    WB IHC-P ELISA
  • Reactivity
    Human, Mouse
See all ZIP3 products