ZNF346 antibody

Cat. No. GTX65857
Cat. No.  GTX65857
Anti-ZNF346 antibody used in Immunocytochemistry/ Immunofluorescence (ICC/IF). GTX65857
GTX65857 ICC/IF Image

ICC/IF analysis of A549 cells using GTX65857 ZNF346 antibody.
Blue : DAPI

1 / 3
Anti-ZNF346 antibody used in IHC (Paraffin sections) (IHC-P). GTX65857
GTX65857 IHC-P Image

IHC-P analysis of rat brain tissue using GTX65857 ZNF346 antibody.
Dilution : 1:100

2 / 3
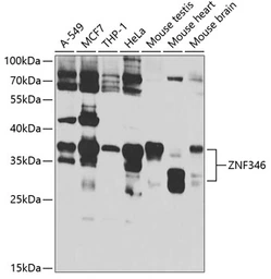
Anti-ZNF346 antibody used in Western Blot (WB). GTX65857
GTX65857 WB Image

WB analysis of various sample lysates using GTX65857 ZNF346 antibody.
Dilution : 1:1000
Loading : 25μg per lane

3 / 3
Anti-ZNF346 antibody used in Immunocytochemistry/ Immunofluorescence (ICC/IF). GTX65857
Anti-ZNF346 antibody used in IHC (Paraffin sections) (IHC-P). GTX65857
Anti-ZNF346 antibody used in Western Blot (WB). GTX65857
  • Host
    Rabbit
  • Clonality
    Polyclonal
  • Isotype
    IgG
  • Applications
    WB ICC/IF IHC-P
  • Reactivity
    Human, Mouse, Rat
See all ZNF346 products