ZNHIT1 antibody [N1C3]

Cat. No. GTX102030
Cat. No.  GTX102030
Anti-ZNHIT1 antibody [N1C3] used in Immunocytochemistry/ Immunofluorescence (ICC/IF). GTX102030
GTX102030 ICC/IF Image

Immunofluorescence analysis of paraformaldehyde-fixed HeLa, using ZNHIT1(GTX102030) antibody at 1:100 dilution.

1 / 3
Anti-ZNHIT1 antibody [N1C3] used in Western Blot (WB). GTX102030
GTX102030 WB Image

Sample (30 ug of whole cell lysate)
A: Molt-4 (GTX27912)
12% SDS PAGE
GTX102030 diluted at 1:1000

2 / 3
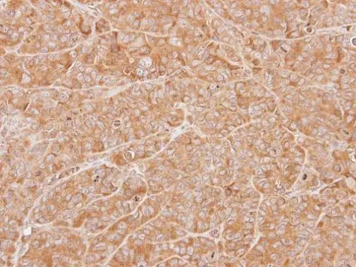
Anti-ZNHIT1 antibody [N1C3] used in IHC (Paraffin sections) (IHC-P). GTX102030
GTX102030 IHC-P Image

Immunohistochemical analysis of paraffin-embedded SW480 xenograft, using ZNHIT1(GTX102030) antibody at 1:500 dilution.
Antigen Retrieval: Citrate buffer, pH 6.0, 15 min

3 / 3
Anti-ZNHIT1 antibody [N1C3] used in Immunocytochemistry/ Immunofluorescence (ICC/IF). GTX102030
Anti-ZNHIT1 antibody [N1C3] used in Western Blot (WB). GTX102030
Anti-ZNHIT1 antibody [N1C3] used in IHC (Paraffin sections) (IHC-P). GTX102030
  • Host
    Rabbit
  • Clonality
    Polyclonal
  • Isotype
    IgG
  • Applications
    WB ICC/IF IHC-P
  • Reactivity
    Human
See all ZNHIT1 products