ZO-1 antibody [N1N2], N-term

Cat. No. GTX108613
Cat. No.  GTX108613
Anti-ZO-1 antibody [N1N2], N-term used in Western Blot (WB). GTX108613
GTX108613 WB Image

Non-transfected (–) and transfected (+) HeLa whole cell extracts (30 μg) were separated by 5% SDS-PAGE, and the membrane was blotted with ZO-1 antibody [N1N2], N-term (GTX108613) diluted at 1:1000. The HRP-conjugated anti-rabbit IgG antibody (GTX213110-01) was used to detect the primary antibody.

1 / 10
Anti-ZO-1 antibody [N1N2], N-term used in IHC (Paraffin sections) (IHC-P). GTX108613
GTX108613 IHC-P Image

ZO-1 antibody [N1N2], N-term detects ZO-1 protein at cell membrane and cytoplasm by immunohistochemical analysis.
Sample: Paraffin-embedded mouse kidney.
ZO-1 stained by ZO-1 antibody [N1N2], N-term (GTX108613) diluted at 1:500.
Antigen Retrieval: Citrate buffer, pH 6.0, 15 min

2 / 10
Anti-ZO-1 antibody [N1N2], N-term used in Western Blot (WB). GTX108613
GTX108613 WB Image

Various whole cell extracts (30 μg) were separated by 5% SDS-PAGE, and the membrane was blotted with ZO-1 antibody [N1N2], N-term (GTX108613) diluted at 1:1000. The HRP-conjugated anti-rabbit IgG antibody (GTX213110-01) was used to detect the primary antibody.

3 / 10
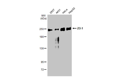
Anti-ZO-1 antibody [N1N2], N-term used in Western Blot (WB). GTX108613
GTX108613 WB Image

Various whole cell extracts (30 μg) were separated by 5% SDS-PAGE, and the membrane was blotted with ZO-1 antibody [N1N2], N-term (GTX108613) diluted at 1:500. The HRP-conjugated anti-rabbit IgG antibody (GTX213110-01) was used to detect the primary antibody.

4 / 10
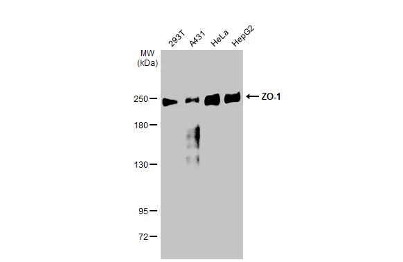
Anti-ZO-1 antibody [N1N2], N-term used in Western Blot (WB). GTX108613
GTX108613 WB Image

Various whole cell extracts (30 μg) were separated by 5% SDS-PAGE, and the membrane was blotted with ZO-1 antibody [N1N2], N-term (GTX108613) diluted at 1:1000. The HRP-conjugated anti-rabbit IgG antibody (GTX213110-01) was used to detect the primary antibody.

5 / 10
Anti-ZO-1 antibody [N1N2], N-term used in Western Blot (WB). GTX108613
GTX108613 WB Image

Mouse tissue extract (50 μg) was separated by 5% SDS-PAGE, and the membrane was blotted with ZO-1 antibody [N1N2], N-term (GTX108613) diluted at 1:500. The HRP-conjugated anti-rabbit IgG antibody (GTX213110-01) was used to detect the primary antibody.

6 / 10
Anti-ZO-1 antibody [N1N2], N-term used in Immunocytochemistry/ Immunofluorescence (ICC/IF). GTX108613
GTX108613 ICC/IF Image

ZO-1 antibody [N1N2], N-term detects ZO-1 protein at cell membrane by immunofluorescent analysis.
Sample: NT2D1 cells were fixed in ice-cold MeOH for 5 min.
Green: ZO-1 stained by ZO-1 antibody [N1N2], N-term (GTX108613) diluted at 1:200.
Blue: Hoechst 33342 staining.

7 / 10
Anti-ZO-1 antibody [N1N2], N-term used in Immunocytochemistry/ Immunofluorescence (ICC/IF). GTX108613
GTX108613 ICC/IF Image

ZO-1 antibody [N1N2], N-term detects ZO-1 protein at cell membrane by immunofluorescent analysis.
Sample: A431 cells were fixed in ice-cold MeOH for 5 min.
Green: ZO-1 stained by ZO-1 antibody [N1N2], N-term (GTX108613) diluted at 1:500.

8 / 10
Anti-ZO-1 antibody [N1N2], N-term used in Western Blot (WB). GTX108613
GTX108613 WB Image

The data was published in the journal Cell Biosci in 2019. PMID: 31114672

9 / 10
Anti-ZO-1 antibody [N1N2], N-term used in Immunocytochemistry/ Immunofluorescence (ICC/IF). GTX108613
GTX108613 ICC/IF Image

The data was published in the journal Gastroenterol Res Pract in 2016. PMID: 27525003

10 / 10
Anti-ZO-1 antibody [N1N2], N-term used in Western Blot (WB). GTX108613
Anti-ZO-1 antibody [N1N2], N-term used in IHC (Paraffin sections) (IHC-P). GTX108613
Anti-ZO-1 antibody [N1N2], N-term used in Western Blot (WB). GTX108613
Anti-ZO-1 antibody [N1N2], N-term used in Western Blot (WB). GTX108613
Anti-ZO-1 antibody [N1N2], N-term used in Western Blot (WB). GTX108613
Anti-ZO-1 antibody [N1N2], N-term used in Western Blot (WB). GTX108613
Anti-ZO-1 antibody [N1N2], N-term used in Immunocytochemistry/ Immunofluorescence (ICC/IF). GTX108613
Anti-ZO-1 antibody [N1N2], N-term used in Immunocytochemistry/ Immunofluorescence (ICC/IF). GTX108613
Anti-ZO-1 antibody [N1N2], N-term used in Western Blot (WB). GTX108613
Anti-ZO-1 antibody [N1N2], N-term used in Immunocytochemistry/ Immunofluorescence (ICC/IF). GTX108613
  • Host
    Rabbit
  • Clonality
    Polyclonal
  • Isotype
    IgG
  • Applications
    WB ICC/IF IHC-P IHC-Fr IP
  • Reactivity
    Polyodon spathula, Human, Mouse, Rat
See all ZO-1 products