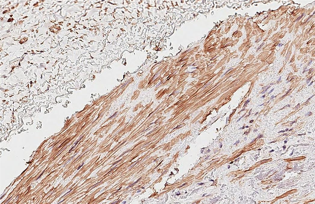
alpha 2b Adrenergic Receptor antibody [HL4510]
Cat. No. GTX644080
Cat. No. GTX644080
-
HostRabbit
-
ClonalityMonoclonal
-
Clone NameHL4510
-
IsotypeIgG
-
ApplicationsICC/IF IHC-P
-
ReactivityHuman