alpha Internexin antibody [1D2]

Cat. No. GTX82743
Cat. No.  GTX82743
Anti-alpha Internexin antibody [1D2] used in Immunocytochemistry/ Immunofluorescence (ICC/IF). GTX82743
GTX82743 ICC/IF Image

Immunostaining of cultured rat CNS cells showing specific labeling of alpha-internexin in neuronal processes in red and microtubule associated protein 2 in green.

1 / 3
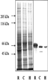
Anti-alpha Internexin antibody [1D2] used in Western Blot (WB). GTX82743
GTX82743 WB Image

Left three lanes show Coomassie brilliant blue stained extracts of rat brain stem, cat cerebral cortex and human cerebral cortex (R, C and H respectively). Right three lanes are corresponding blots reacted with GTX82743. GTX82743 stains a band of about 66kDa in all three preparations.

2 / 3
Anti-alpha Internexin antibody [1D2] used in Western Blot (WB). GTX82743
GTX82743 WB Image

Western blot of rat cortex lysate showing specific immunolabeling of the ~66k alpha internexin protein using alpha Internexin antibody [1D2] (GTX82743).

3 / 3
Anti-alpha Internexin antibody [1D2] used in Immunocytochemistry/ Immunofluorescence (ICC/IF). GTX82743
Anti-alpha Internexin antibody [1D2] used in Western Blot (WB). GTX82743
Anti-alpha Internexin antibody [1D2] used in Western Blot (WB). GTX82743
  • Host
    Mouse
  • Clonality
    Monoclonal
  • Clone Name
    1D2
  • Isotype
    IgG1
  • Applications
    WB ICC/IF IHC
  • Reactivity
    Human, Rat, Cat
See all alpha Internexin products