beta Actin antibody

Cat. No. GTX124214
Cat. No.  GTX124214
Anti-beta Actin antibody used in Immunocytochemistry/ Immunofluorescence (ICC/IF). GTX124214
GTX124214 ICC/IF Image

Immunofluorescence analysis of methanol-fixed HeLa, using beta actin(GTX124214) antibody at 1:500 dilution.

1 / 7
Anti-beta Actin antibody used in IHC (Paraffin sections) (IHC-P). GTX124214
GTX124214 IHC-P Image

beta actin antibody detects beta actin protein at cytosol on mouse intestine by immunohistochemical analysis.
Sample: Paraffin-embedded mouse intestine.
beta actin antibody (GTX124214) dilution: 1:500.

Antigen Retrieval: Trilogy™ (EDTA based, pH 8.0) buffer, 15min

2 / 7
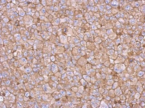
Anti-beta Actin antibody used in IHC (Paraffin sections) (IHC-P). GTX124214
GTX124214 IHC-P Image

Immunohistochemical analysis of paraffin-embedded H1299 xenograft, using beta actin(GTX124214) antibody at 1:500 dilution.
Antigen Retrieval: Trilogy™ (EDTA based, pH 8.0) buffer, 15min

3 / 7
Anti-beta Actin antibody used in Western Blot (WB). GTX124214
GTX124214 WB Image

Sample (30 ug of whole cell lysate)
A: NIH-3T3
10% SDS PAGE
GTX124214 diluted at 1:10000

4 / 7
Anti-beta Actin antibody used in Western Blot (WB). GTX124214
GTX124214 WB Image

Sample (30 ug of whole cell lysate)
A: Jurakt
B: Raji
C: K562
10% SDS PAGE
GTX124214 diluted at 1:10000

5 / 7
Anti-beta Actin antibody used in Western Blot (WB). GTX124214
GTX124214 WB Image

Non-transfected (–) and transfected (+) 293T whole cell extracts (10 μg) were separated by 10% SDS-PAGE, and the membrane was blotted with beta Actin antibody (GTX124214) diluted at 1:15000.

6 / 7
Anti-beta Actin antibody used in Western Blot (WB). GTX124214
GTX124214 WB Image

Whole cell extract (30 μg) was separated by 10% SDS-PAGE, and the membrane was blotted with beta Actin antibody (GTX124214) diluted at 1:1000. The HRP-conjugated anti-rabbit IgG antibody (GTX213110-01) was used to detect the primary antibody.

7 / 7
Anti-beta Actin antibody used in Immunocytochemistry/ Immunofluorescence (ICC/IF). GTX124214
Anti-beta Actin antibody used in IHC (Paraffin sections) (IHC-P). GTX124214
Anti-beta Actin antibody used in IHC (Paraffin sections) (IHC-P). GTX124214
Anti-beta Actin antibody used in Western Blot (WB). GTX124214
Anti-beta Actin antibody used in Western Blot (WB). GTX124214
Anti-beta Actin antibody used in Western Blot (WB). GTX124214
Anti-beta Actin antibody used in Western Blot (WB). GTX124214
  • Host
    Rabbit
  • Clonality
    Polyclonal
  • Isotype
    IgG
  • Applications
    WB ICC/IF IHC-P
  • Reactivity
    Human, Mouse, Drosophila
See all beta Actin products