c-Abl antibody

Cat. No. GTX54905
Cat. No.  GTX54905
Anti-c-Abl antibody used in Western Blot (WB). GTX54905
GTX54905 WB Image

WB analysis of K562 (A), mouse liver (B), rat liver (C) whole cell lysates using GTX54905 c-Abl antibody.

1 / 3
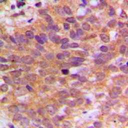
Anti-c-Abl antibody used in IHC (Paraffin sections) (IHC-P). GTX54905
GTX54905 IHC-P Image

IHC-P analysis of formalin fixed human breast cancer tissue section using GTX54905 c-Abl antibody.
Antigen retrieval : Heat mediated antigen retrieval with sodium citrate buffer (pH 6.0)

2 / 3
Anti-c-Abl antibody used in Immunocytochemistry/ Immunofluorescence (ICC/IF). GTX54905
GTX54905 ICC/IF Image

ICC/IF analysis of formalin-fixed K562 cells using GTX54905 c-Abl antibody.
Red : Primary antibody
Blue : DAPI
Permeabilization : 0.1% Triton X-100 in TBS for 5-10 minutes

3 / 3
Anti-c-Abl antibody used in Western Blot (WB). GTX54905
Anti-c-Abl antibody used in IHC (Paraffin sections) (IHC-P). GTX54905
Anti-c-Abl antibody used in Immunocytochemistry/ Immunofluorescence (ICC/IF). GTX54905
  • Host
    Rabbit
  • Clonality
    Polyclonal
  • Isotype
    IgG
  • Applications
    WB ICC/IF IHC-P
  • Reactivity
    Human, Mouse, Rat
See all c-Abl products