c-Abl (phospho Tyr204) antibody

Cat. No. GTX79154
Cat. No.  GTX79154
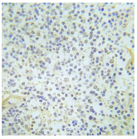
Anti-c-Abl (phospho Tyr204) antibody used in IHC (Paraffin sections) (IHC-P). GTX79154
GTX79154 IHC-P Image

IHC-P analysis of human breast carcinoma tissue using GTX79154 c-Abl (phospho Tyr204) antibody.

1 / 1
Anti-c-Abl (phospho Tyr204) antibody used in IHC (Paraffin sections) (IHC-P). GTX79154
  • Host
    Rabbit
  • Clonality
    Polyclonal
  • Isotype
    IgG
  • Applications
    IHC-P
  • Reactivity
    Human
See all c-Abl products