c-Myb antibody [N2C1], Internal

Cat. No. GTX102305
Cat. No.  GTX102305
Anti-c-Myb antibody [N2C1], Internal used in Western Blot (WB). GTX102305
GTX102305 WB Image

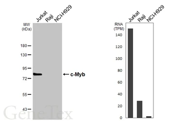
Various whole cell extracts (30 μg) were separated by 7.5% SDS-PAGE, and the membrane was blotted with c-Myb antibody [N2C1], Internal (GTX102305) diluted at 1:1000. The HRP-conjugated anti-rabbit IgG antibody (GTX213110-01) was used to detect the primary antibody. Corresponding RNA expression data are based on Human Protein Atlas program.

1 / 2
Anti-c-Myb antibody [N2C1], Internal used in Western Blot (WB). GTX102305
GTX102305 WB Image

Sample (30 ug of whole cell lysate)
A: HepG2
7.5% SDS PAGE
GTX102305 diluted at 1:1000

2 / 2
Anti-c-Myb antibody [N2C1], Internal used in Western Blot (WB). GTX102305
Anti-c-Myb antibody [N2C1], Internal used in Western Blot (WB). GTX102305
  • Host
    Rabbit
  • Clonality
    Polyclonal
  • Isotype
    IgG
  • Applications
    WB
  • Reactivity
    Human
See all v-Myb products