c-Myc antibody [1A6]

Cat. No. GTX84066
Cat. No.  GTX84066
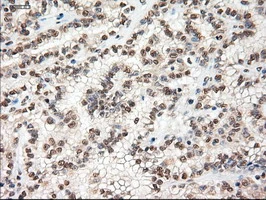
Anti-c-Myc antibody [1A6] used in IHC (Paraffin sections) (IHC-P). GTX84066
GTX84066 IHC-P Image

IHC-P analysis of human kidney carcinoma tissue using GTX84066 c-Myc antibody [1A6].
Antigen retrieval : Heat-induced epitope retrieval by 10mM citrate buffer, pH6.0, 100ºC for 10min.

1 / 19
Anti-c-Myc antibody [1A6] used in IHC (Paraffin sections) (IHC-P). GTX84066
GTX84066 IHC-P Image

IHC-P analysis of human pancreas carcinoma tissue using GTX84066 c-Myc antibody [1A6].
Antigen retrieval : Heat-induced epitope retrieval by 10mM citrate buffer, pH6.0, 100ºC for 10min.

2 / 19
Anti-c-Myc antibody [1A6] used in IHC (Paraffin sections) (IHC-P). GTX84066
GTX84066 IHC-P Image

IHC-P analysis of human endometrium tissue using GTX84066 c-Myc antibody [1A6].
Antigen retrieval : Heat-induced epitope retrieval by 10mM citrate buffer, pH6.0, 100ºC for 10min.

3 / 19
Anti-c-Myc antibody [1A6] used in Flow cytometry (FCM). GTX84066
GTX84066 FCM Image

FACS analysis of HEK293T cells transfected with either c-Myc plasmid(Red) or empty vector control plasmid(Blue) using GTX84066 c-Myc antibody [1A6].

4 / 19
Anti-c-Myc antibody [1A6] used in IHC (Paraffin sections) (IHC-P). GTX84066
GTX84066 IHC-P Image

IHC-P analysis of human thyroid carcinoma tissue using GTX84066 c-Myc antibody [1A6].
Antigen retrieval : Heat-induced epitope retrieval by 10mM citrate buffer, pH6.0, 100ºC for 10min.

5 / 19
Anti-c-Myc antibody [1A6] used in IHC (Paraffin sections) (IHC-P). GTX84066
GTX84066 IHC-P Image

IHC-P analysis of human lung carcinoma tissue using GTX84066 c-Myc antibody [1A6].
Antigen retrieval : Heat-induced epitope retrieval by 10mM citrate buffer, pH6.0, 100ºC for 10min.

6 / 19
Anti-c-Myc antibody [1A6] used in IHC (Paraffin sections) (IHC-P). GTX84066
GTX84066 IHC-P Image

IHC-P analysis of human thyroid tissue using GTX84066 c-Myc antibody [1A6].
Antigen retrieval : Heat-induced epitope retrieval by 10mM citrate buffer, pH6.0, 100ºC for 10min.

7 / 19
Anti-c-Myc antibody [1A6] used in IHC (Paraffin sections) (IHC-P). GTX84066
GTX84066 IHC-P Image

IHC-P analysis of human breast tissue using GTX84066 c-Myc antibody [1A6].
Antigen retrieval : Heat-induced epitope retrieval by 10mM citrate buffer, pH6.0, 100ºC for 10min.

8 / 19
Anti-c-Myc antibody [1A6] used in IHC (Paraffin sections) (IHC-P). GTX84066
GTX84066 IHC-P Image

IHC-P analysis of human pancreas tissue using GTX84066 c-Myc antibody [1A6].
Antigen retrieval : Heat-induced epitope retrieval by 10mM citrate buffer, pH6.0, 100ºC for 10min.

9 / 19
Anti-c-Myc antibody [1A6] used in Immunocytochemistry/ Immunofluorescence (ICC/IF). GTX84066
GTX84066 ICC/IF Image

ICC/IF analysis of COS7 cells transiently transfected with c-Myc plasmid using GTX84066 c-Myc antibody [1A6].

10 / 19
Anti-c-Myc antibody [1A6] used in Western Blot (WB). GTX84066
GTX84066 WB Image

WB analysis of various samples using GTX84066 c-Myc antibody [1A6].
Loading : 10 ug per lane
Dilution : 1:200

11 / 19
Anti-c-Myc antibody [1A6] used in Western Blot (WB). GTX84066
GTX84066 WB Image

WB analysis of various cell lines using GTX84066 c-Myc antibody [1A6].
Loading : 10 ug per lane
Dilution : 1:200

12 / 19
Anti-c-Myc antibody [1A6] used in IHC (Paraffin sections) (IHC-P). GTX84066
GTX84066 IHC-P Image

IHC-P analysis of human liver carcinoma tissue using GTX84066 c-Myc antibody [1A6].
Antigen retrieval : Heat-induced epitope retrieval by 10mM citrate buffer, pH6.0, 100ºC for 10min.

13 / 19
Anti-c-Myc antibody [1A6] used in IHC (Paraffin sections) (IHC-P). GTX84066
GTX84066 IHC-P Image

IHC-P analysis of human lung tissue using GTX84066 c-Myc antibody [1A6].
Antigen retrieval : Heat-induced epitope retrieval by 10mM citrate buffer, pH6.0, 100ºC for 10min.

14 / 19
Anti-c-Myc antibody [1A6] used in IHC (Paraffin sections) (IHC-P). GTX84066
GTX84066 IHC-P Image

IHC-P analysis of human liver tissue using GTX84066 c-Myc antibody [1A6].
Antigen retrieval : Heat-induced epitope retrieval by 10mM citrate buffer, pH6.0, 100ºC for 10min.

15 / 19
Anti-c-Myc antibody [1A6] used in IHC (Paraffin sections) (IHC-P). GTX84066
GTX84066 IHC-P Image

IHC-P analysis of human ovary adenocarcinoma tissue using GTX84066 c-Myc antibody [1A6].
Antigen retrieval : Heat-induced epitope retrieval by 10mM citrate buffer, pH6.0, 100ºC for 10min.

16 / 19
Anti-c-Myc antibody [1A6] used in IHC (Paraffin sections) (IHC-P). GTX84066
GTX84066 IHC-P Image

IHC-P analysis of human colon tissue using GTX84066 c-Myc antibody [1A6].
Antigen retrieval : Heat-induced epitope retrieval by 10mM citrate buffer, pH6.0, 100ºC for 10min.

17 / 19
Anti-c-Myc antibody [1A6] used in IHC (Paraffin sections) (IHC-P). GTX84066
GTX84066 IHC-P Image

IHC-P analysis of human colon adenocarcinoma tissue using GTX84066 c-Myc antibody [1A6].
Antigen retrieval : Heat-induced epitope retrieval by 10mM citrate buffer, pH6.0, 100ºC for 10min.

18 / 19
Anti-c-Myc antibody [1A6] used in Western Blot (WB). GTX84066
GTX84066 WB Image

WB analysis of HEK293T cells transfected with c-Myc plasmid (Right) or empty vector (Left) for 48 hrs using GTX84066 c-Myc antibody [1A6].
Loading : 5 ug per lane

19 / 19
Anti-c-Myc antibody [1A6] used in IHC (Paraffin sections) (IHC-P). GTX84066
Anti-c-Myc antibody [1A6] used in IHC (Paraffin sections) (IHC-P). GTX84066
Anti-c-Myc antibody [1A6] used in IHC (Paraffin sections) (IHC-P). GTX84066
Anti-c-Myc antibody [1A6] used in Flow cytometry (FCM). GTX84066
Anti-c-Myc antibody [1A6] used in IHC (Paraffin sections) (IHC-P). GTX84066
Anti-c-Myc antibody [1A6] used in IHC (Paraffin sections) (IHC-P). GTX84066
Anti-c-Myc antibody [1A6] used in IHC (Paraffin sections) (IHC-P). GTX84066
Anti-c-Myc antibody [1A6] used in IHC (Paraffin sections) (IHC-P). GTX84066
Anti-c-Myc antibody [1A6] used in IHC (Paraffin sections) (IHC-P). GTX84066
Anti-c-Myc antibody [1A6] used in Immunocytochemistry/ Immunofluorescence (ICC/IF). GTX84066
Anti-c-Myc antibody [1A6] used in Western Blot (WB). GTX84066
Anti-c-Myc antibody [1A6] used in Western Blot (WB). GTX84066
Anti-c-Myc antibody [1A6] used in IHC (Paraffin sections) (IHC-P). GTX84066
Anti-c-Myc antibody [1A6] used in IHC (Paraffin sections) (IHC-P). GTX84066
Anti-c-Myc antibody [1A6] used in IHC (Paraffin sections) (IHC-P). GTX84066
Anti-c-Myc antibody [1A6] used in IHC (Paraffin sections) (IHC-P). GTX84066
Anti-c-Myc antibody [1A6] used in IHC (Paraffin sections) (IHC-P). GTX84066
Anti-c-Myc antibody [1A6] used in IHC (Paraffin sections) (IHC-P). GTX84066
Anti-c-Myc antibody [1A6] used in Western Blot (WB). GTX84066
  • Host
    Mouse
  • Clonality
    Monoclonal
  • Clone Name
    1A6
  • Isotype
    IgG2b
  • Applications
    WB ICC/IF IHC-P FCM
  • Reactivity
    Human, Mouse, Monkey
See all c-Myc products