c-Myc antibody [3F2]

Cat. No. GTX84065
Cat. No.  GTX84065
Anti-c-Myc antibody [3F2] used in IHC (Paraffin sections) (IHC-P). GTX84065
GTX84065 IHC-P Image

IHC-P analysis of human liver tissue using GTX84065 c-Myc antibody [3F2].
Antigen retrieval : Heat-induced epitope retrieval by 10mM citrate buffer, pH6.0, 100ºC for 10min.

1 / 15
Anti-c-Myc antibody [3F2] used in IHC (Paraffin sections) (IHC-P). GTX84065
GTX84065 IHC-P Image

IHC-P analysis of human breast tissue using GTX84065 c-Myc antibody [3F2].
Antigen retrieval : Heat-induced epitope retrieval by 10mM citrate buffer, pH6.0, 100ºC for 10min.

2 / 15
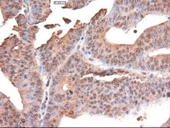
Anti-c-Myc antibody [3F2] used in IHC (Paraffin sections) (IHC-P). GTX84065
GTX84065 IHC-P Image

IHC-P analysis of human colon adenocarcinoma tissue using GTX84065 c-Myc antibody [3F2].
Antigen retrieval : Heat-induced epitope retrieval by 10mM citrate buffer, pH6.0, 100ºC for 10min.

3 / 15
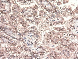
Anti-c-Myc antibody [3F2] used in IHC (Paraffin sections) (IHC-P). GTX84065
GTX84065 IHC-P Image

IHC-P analysis of human kidney carcinoma tissue using GTX84065 c-Myc antibody [3F2].
Antigen retrieval : Heat-induced epitope retrieval by 10mM citrate buffer, pH6.0, 100ºC for 10min.

4 / 15
Anti-c-Myc antibody [3F2] used in Western Blot (WB). GTX84065
GTX84065 WB Image

WB analysis of HEK293T cells transfected with c-Myc plasmid (Right) or empty vector (Left) for 48 hrs using GTX84065 c-Myc antibody [3F2].
Loading : 5 ug per lane

5 / 15
Anti-c-Myc antibody [3F2] used in Immunocytochemistry/ Immunofluorescence (ICC/IF). GTX84065
GTX84065 ICC/IF Image

ICC/IF analysis of COS7 cells transiently transfected with c-Myc plasmid using GTX84065 c-Myc antibody [3F2].

6 / 15
Anti-c-Myc antibody [3F2] used in Immunocytochemistry/ Immunofluorescence (ICC/IF). GTX84065
GTX84065 ICC/IF Image

ICC/IF analysis of HeLa cells using GTX84065 c-Myc antibody [3F2].

7 / 15
Anti-c-Myc antibody [3F2] used in IHC (Paraffin sections) (IHC-P). GTX84065
GTX84065 IHC-P Image

IHC-P analysis of human endometrium adenocarcinoma tissue using GTX84065 c-Myc antibody [3F2].
Antigen retrieval : Heat-induced epitope retrieval by 10mM citrate buffer, pH6.0, 100ºC for 10min.

8 / 15
Anti-c-Myc antibody [3F2] used in IHC (Paraffin sections) (IHC-P). GTX84065
GTX84065 IHC-P Image

IHC-P analysis of human endometrium tissue using GTX84065 c-Myc antibody [3F2].
Antigen retrieval : Heat-induced epitope retrieval by 10mM citrate buffer, pH6.0, 100ºC for 10min.

9 / 15
Anti-c-Myc antibody [3F2] used in IHC (Paraffin sections) (IHC-P). GTX84065
GTX84065 IHC-P Image

IHC-P analysis of human pancreas tissue using GTX84065 c-Myc antibody [3F2].
Antigen retrieval : Heat-induced epitope retrieval by 10mM citrate buffer, pH6.0, 100ºC for 10min.

10 / 15
Anti-c-Myc antibody [3F2] used in IHC (Paraffin sections) (IHC-P). GTX84065
GTX84065 IHC-P Image

IHC-P analysis of human thyroid tissue using GTX84065 c-Myc antibody [3F2].
Antigen retrieval : Heat-induced epitope retrieval by 10mM citrate buffer, pH6.0, 100ºC for 10min.

11 / 15
Anti-c-Myc antibody [3F2] used in IHC (Paraffin sections) (IHC-P). GTX84065
GTX84065 IHC-P Image

IHC-P analysis of human ovary adenocarcinoma tissue using GTX84065 c-Myc antibody [3F2].
Antigen retrieval : Heat-induced epitope retrieval by 10mM citrate buffer, pH6.0, 100ºC for 10min.

12 / 15
Anti-c-Myc antibody [3F2] used in IHC (Paraffin sections) (IHC-P). GTX84065
GTX84065 IHC-P Image

IHC-P analysis of human colon tissue using GTX84065 c-Myc antibody [3F2].
Antigen retrieval : Heat-induced epitope retrieval by 10mM citrate buffer, pH6.0, 100ºC for 10min.

13 / 15
Anti-c-Myc antibody [3F2] used in Western Blot (WB). GTX84065
GTX84065 WB Image

WB analysis of HeLa cell lysate using GTX84065 c-Myc antibody [3F2].
Dilution : 1:1000

14 / 15
Anti-c-Myc antibody [3F2] used in IHC (Paraffin sections) (IHC-P). GTX84065
GTX84065 IHC-P Image

IHC-P analysis of human pancreas carcinoma tissue using GTX84065 c-Myc antibody [3F2].
Antigen retrieval : Heat-induced epitope retrieval by 10mM citrate buffer, pH6.0, 100ºC for 10min.

15 / 15
Anti-c-Myc antibody [3F2] used in IHC (Paraffin sections) (IHC-P). GTX84065
Anti-c-Myc antibody [3F2] used in IHC (Paraffin sections) (IHC-P). GTX84065
Anti-c-Myc antibody [3F2] used in IHC (Paraffin sections) (IHC-P). GTX84065
Anti-c-Myc antibody [3F2] used in IHC (Paraffin sections) (IHC-P). GTX84065
Anti-c-Myc antibody [3F2] used in Western Blot (WB). GTX84065
Anti-c-Myc antibody [3F2] used in Immunocytochemistry/ Immunofluorescence (ICC/IF). GTX84065
Anti-c-Myc antibody [3F2] used in Immunocytochemistry/ Immunofluorescence (ICC/IF). GTX84065
Anti-c-Myc antibody [3F2] used in IHC (Paraffin sections) (IHC-P). GTX84065
Anti-c-Myc antibody [3F2] used in IHC (Paraffin sections) (IHC-P). GTX84065
Anti-c-Myc antibody [3F2] used in IHC (Paraffin sections) (IHC-P). GTX84065
Anti-c-Myc antibody [3F2] used in IHC (Paraffin sections) (IHC-P). GTX84065
Anti-c-Myc antibody [3F2] used in IHC (Paraffin sections) (IHC-P). GTX84065
Anti-c-Myc antibody [3F2] used in IHC (Paraffin sections) (IHC-P). GTX84065
Anti-c-Myc antibody [3F2] used in Western Blot (WB). GTX84065
Anti-c-Myc antibody [3F2] used in IHC (Paraffin sections) (IHC-P). GTX84065
  • Host
    Mouse
  • Clonality
    Monoclonal
  • Clone Name
    3F2
  • Isotype
    IgG2a
  • Applications
    WB ICC/IF IHC-P
  • Reactivity
    Human
See all c-Myc products