c-kit (phospho Tyr936) antibody

Cat. No. GTX50690
Cat. No.  GTX50690
Anti-c-kit (phospho Tyr936) antibody used in Western Blot (WB). GTX50690
GTX50690 WB Image

WB analysis of extracts from C6 cell untreated or treated with serum using GTX50690 c-kit (phospho Tyr936) antibody.

1 / 2
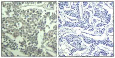
Anti-c-kit (phospho Tyr936) antibody used in IHC (Paraffin sections) (IHC-P). GTX50690
GTX50690 IHC-P Image

IHC-P analysis of human breast carcinoma tissue using GTX50690 c-kit (phospho Tyr936) antibody.
Left : Primary antibody
Right : Primary antibody pre-incubated with the antigen specific peptide

2 / 2
Anti-c-kit (phospho Tyr936) antibody used in Western Blot (WB). GTX50690
Anti-c-kit (phospho Tyr936) antibody used in IHC (Paraffin sections) (IHC-P). GTX50690
  • Host
    Rabbit
  • Clonality
    Polyclonal
  • Isotype
    IgG
  • Applications
    WB IHC-P
  • Reactivity
    Human, Rat
See all c-Kit products