cleavage stimulation factor antibody [N1C1]

Cat. No. GTX114345
Cat. No.  GTX114345
Anti-cleavage stimulation factor antibody [N1C1] used in Western Blot (WB). GTX114345
GTX114345 WB Image

Sample (30 ug of whole cell lysate)
A: A431 (GTX27909)
10% SDS PAGE
CSTF50 antibody
GTX114345 diluted at 1:1000

1 / 3
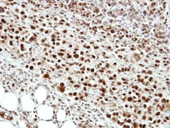
Anti-cleavage stimulation factor antibody [N1C1] used in IHC (Paraffin sections) (IHC-P). GTX114345
GTX114345 IHC-P Image

Immunohistochemical analysis of paraffin-embedded ES2 xenograft, using CSTF50(GTX114345) antibody at 1:500 dilution.
Antigen Retrieval: Citrate buffer, pH 6.0, 15 min

2 / 3
Anti-cleavage stimulation factor antibody [N1C1] used in Immunocytochemistry/ Immunofluorescence (ICC/IF). GTX114345
GTX114345 ICC/IF Image

Immunofluorescence analysis of paraformaldehyde-fixed A431, using cleavage stimulation factor(GTX114345) antibody at 1:500 dilution.

3 / 3
Anti-cleavage stimulation factor antibody [N1C1] used in Western Blot (WB). GTX114345
Anti-cleavage stimulation factor antibody [N1C1] used in IHC (Paraffin sections) (IHC-P). GTX114345
Anti-cleavage stimulation factor antibody [N1C1] used in Immunocytochemistry/ Immunofluorescence (ICC/IF). GTX114345
  • Host
    Rabbit
  • Clonality
    Polyclonal
  • Isotype
    IgG
  • Applications
    WB ICC/IF IHC-P
  • Reactivity
    Human
See all cleavage stimulation factor products