eIF2 alpha antibody [3H4]

Cat. No. GTX84579
Cat. No.  GTX84579
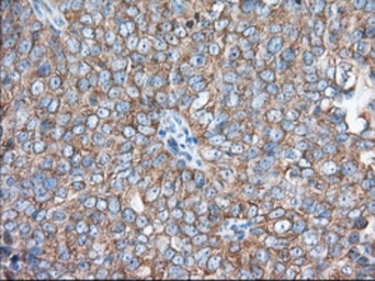
Anti-eIF2 alpha antibody [3H4] used in IHC (Paraffin sections) (IHC-P). GTX84579
GTX84579 IHC-P Image

IHC-P analysis of human ovary adenocarcinoma tissue using GTX84579 eIF2 alpha antibody [3H4].
Antigen retrieval : Heat-induced epitope retrieval by 10mM citrate buffer, pH6.0, 100ºC for 10min.
Dilution : 1:50

1 / 10
Anti-eIF2 alpha antibody [3H4] used in Western Blot (WB). GTX84579
GTX84579 WB Image

WB analysis of HEK293T cells transfected with eIF2 alpha plasmid (Right) or empty vector (Left) for 48 hrs using GTX84579 eIF2 alpha antibody [3H4].
Loading : 5 ug per lane

2 / 10
Anti-eIF2 alpha antibody [3H4] used in IHC (Paraffin sections) (IHC-P). GTX84579
GTX84579 IHC-P Image

IHC-P analysis of human kidney tissue using GTX84579 eIF2 alpha antibody [3H4].
Antigen retrieval : Heat-induced epitope retrieval by 10mM citrate buffer, pH6.0, 100ºC for 10min.
Dilution : 1:50

3 / 10
Anti-eIF2 alpha antibody [3H4] used in Western Blot (WB). GTX84579
GTX84579 WB Image

WB analysis of various cell lines using GTX84579 eIF2 alpha antibody [3H4].
Loading : 35 ug per lane

4 / 10
Anti-eIF2 alpha antibody [3H4] used in Flow cytometry (FCM). GTX84579
GTX84579 FCM Image

FACS analysis of HEK293T cells transfected with either eIF2 alpha plasmid(Red) or empty vector control plasmid(Blue) using GTX84579 eIF2 alpha antibody [3H4].

5 / 10
Anti-eIF2 alpha antibody [3H4] used in Immunocytochemistry/ Immunofluorescence (ICC/IF). GTX84579
GTX84579 ICC/IF Image

ICC/IF analysis of COS7 cells transiently transfected with eIF2 alpha plasmid using GTX84579 eIF2 alpha antibody [3H4].

6 / 10
Anti-eIF2 alpha antibody [3H4] used in IHC (Paraffin sections) (IHC-P). GTX84579
GTX84579 IHC-P Image

IHC-P analysis of human colon adenocarcinoma tissue using GTX84579 eIF2 alpha antibody [3H4].
Antigen retrieval : Heat-induced epitope retrieval by 10mM citrate buffer, pH6.0, 100ºC for 10min.
Dilution : 1:50

7 / 10
Anti-eIF2 alpha antibody [3H4] used in Flow cytometry (FCM). GTX84579
GTX84579 FCM Image

FACS analysis of Jurkat cells using GTX84579 eIF2 alpha antibody [3H4].
Red : Primary antibody
Blue : Negative control antibody

8 / 10
Anti-eIF2 alpha antibody [3H4] used in IHC (Paraffin sections) (IHC-P). GTX84579
GTX84579 IHC-P Image

IHC-P analysis of human prostate tissue using GTX84579 eIF2 alpha antibody [3H4].
Antigen retrieval : Heat-induced epitope retrieval by 10mM citrate buffer, pH6.0, 100ºC for 10min.
Dilution : 1:50

9 / 10
Anti-eIF2 alpha antibody [3H4] used in IHC (Paraffin sections) (IHC-P). GTX84579
GTX84579 IHC-P Image

IHC-P analysis of human pancreas tissue using GTX84579 eIF2 alpha antibody [3H4].
Antigen retrieval : Heat-induced epitope retrieval by 10mM citrate buffer, pH6.0, 100ºC for 10min.
Dilution : 1:50

10 / 10
Anti-eIF2 alpha antibody [3H4] used in IHC (Paraffin sections) (IHC-P). GTX84579
Anti-eIF2 alpha antibody [3H4] used in Western Blot (WB). GTX84579
Anti-eIF2 alpha antibody [3H4] used in IHC (Paraffin sections) (IHC-P). GTX84579
Anti-eIF2 alpha antibody [3H4] used in Western Blot (WB). GTX84579
Anti-eIF2 alpha antibody [3H4] used in Flow cytometry (FCM). GTX84579
Anti-eIF2 alpha antibody [3H4] used in Immunocytochemistry/ Immunofluorescence (ICC/IF). GTX84579
Anti-eIF2 alpha antibody [3H4] used in IHC (Paraffin sections) (IHC-P). GTX84579
Anti-eIF2 alpha antibody [3H4] used in Flow cytometry (FCM). GTX84579
Anti-eIF2 alpha antibody [3H4] used in IHC (Paraffin sections) (IHC-P). GTX84579
Anti-eIF2 alpha antibody [3H4] used in IHC (Paraffin sections) (IHC-P). GTX84579
  • Host
    Mouse
  • Clonality
    Monoclonal
  • Clone Name
    3H4
  • Isotype
    IgG1
  • Applications
    WB ICC/IF IHC-P FCM
  • Reactivity
    Human, Rat, Dog, Monkey
See all eIF2 alpha products