eIF2 alpha (phospho Ser48) antibody

Cat. No. GTX50342
Cat. No.  GTX50342
Anti-eIF2 alpha (phospho Ser48) antibody used in Western Blot (WB). GTX50342
GTX50342 WB Image

WB analysis of extracts from HeLa cells untreated or treated with starvation using GTX50342 eIF2 alpha (phospho Ser48) antibody.

1 / 4
Anti-eIF2 alpha (phospho Ser48) antibody used in IHC (Paraffin sections) (IHC-P). GTX50342
GTX50342 IHC-P Image

IHC-P analysis of human lung carcinoma tissue using GTX50342 eIF2 alpha (phospho Ser48) antibody.

2 / 4
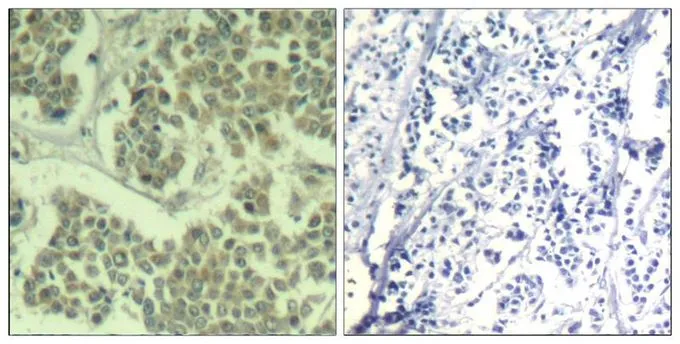
Anti-eIF2 alpha (phospho Ser48) antibody used in IHC (Paraffin sections) (IHC-P). GTX50342
GTX50342 IHC-P Image

IHC-P analysis of human breast carcinoma tissue using GTX50342 eIF2 alpha (phospho Ser48) antibody.
Left : Primary antibody
Right : Primary antibody pre-incubated with the antigen specific peptide

3 / 4
Anti-eIF2 alpha (phospho Ser48) antibody used in Immunocytochemistry/ Immunofluorescence (ICC/IF). GTX50342
GTX50342 ICC/IF Image

ICC/IF analysis of methanol-fixed HeLa cells using GTX50342 eIF2 alpha (phospho Ser48) antibody.

4 / 4
Anti-eIF2 alpha (phospho Ser48) antibody used in Western Blot (WB). GTX50342
Anti-eIF2 alpha (phospho Ser48) antibody used in IHC (Paraffin sections) (IHC-P). GTX50342
Anti-eIF2 alpha (phospho Ser48) antibody used in IHC (Paraffin sections) (IHC-P). GTX50342
Anti-eIF2 alpha (phospho Ser48) antibody used in Immunocytochemistry/ Immunofluorescence (ICC/IF). GTX50342
  • Host
    Rabbit
  • Clonality
    Polyclonal
  • Isotype
    IgG
  • Applications
    WB ICC/IF IHC-P
  • Reactivity
    Human
See all eIF2 alpha products