eIF3B antibody

Cat. No. GTX64714
Cat. No.  GTX64714
Anti-eIF3B antibody used in Immunocytochemistry/ Immunofluorescence (ICC/IF). GTX64714
GTX64714 ICC/IF Image

ICC/IF analysis of HeLa cells using GTX64714 eIF3B antibody.
Blue : DAPI
Dilution : 1:100

1 / 5
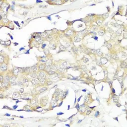
Anti-eIF3B antibody used in IHC (Paraffin sections) (IHC-P). GTX64714
GTX64714 IHC-P Image

IHC-P analysis of human breast cancer tissue using GTX64714 eIF3B antibody.
Dilution : 1:100

2 / 5
Anti-eIF3B antibody used in Immunocytochemistry/ Immunofluorescence (ICC/IF). GTX64714
GTX64714 ICC/IF Image

ICC/IF analysis of NIH/3T3 cells using GTX64714 eIF3B antibody.
Blue : DAPI
Dilution : 1:100

3 / 5
Anti-eIF3B antibody used in Western Blot (WB). GTX64714
GTX64714 WB Image

WB analysis of various sample lysates using GTX64714 eIF3B antibody.
Dilution : 1:1000
Loading : 25μg per lane

4 / 5
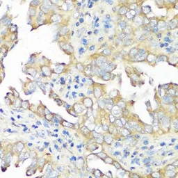
Anti-eIF3B antibody used in IHC (Paraffin sections) (IHC-P). GTX64714
GTX64714 IHC-P Image

IHC-P analysis of human lung cancer tissue using GTX64714 eIF3B antibody.
Dilution : 1:100

5 / 5
Anti-eIF3B antibody used in Immunocytochemistry/ Immunofluorescence (ICC/IF). GTX64714
Anti-eIF3B antibody used in IHC (Paraffin sections) (IHC-P). GTX64714
Anti-eIF3B antibody used in Immunocytochemistry/ Immunofluorescence (ICC/IF). GTX64714
Anti-eIF3B antibody used in Western Blot (WB). GTX64714
Anti-eIF3B antibody used in IHC (Paraffin sections) (IHC-P). GTX64714
  • Host
    Rabbit
  • Clonality
    Polyclonal
  • Isotype
    IgG
  • Applications
    WB ICC/IF IHC-P
  • Reactivity
    Human, Mouse, Rat
See all eIF3B products