eIF4B (phospho Ser422) antibody

Cat. No. GTX50343
Cat. No.  GTX50343
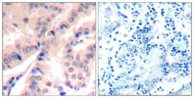
Anti-eIF4B (phospho Ser422) antibody used in IHC (Paraffin sections) (IHC-P). GTX50343
GTX50343 IHC-P Image

IHC-P analysis of human lung carcinoma tissue using GTX50343 eIF4B (phospho Ser422) antibody.
Left : Primary antibody
Right : Primary antibody pre-incubated with the antigen specific peptide

1 / 2
Anti-eIF4B (phospho Ser422) antibody used in Western Blot (WB). GTX50343
GTX50343 WB Image

WB analysis of extracts from HeLa cells untreated or treated with EGF using GTX50343 eIF4B (phospho Ser422) antibody.

2 / 2
Anti-eIF4B (phospho Ser422) antibody used in IHC (Paraffin sections) (IHC-P). GTX50343
Anti-eIF4B (phospho Ser422) antibody used in Western Blot (WB). GTX50343
  • Host
    Rabbit
  • Clonality
    Polyclonal
  • Isotype
    IgG
  • Applications
    WB IHC-P
  • Reactivity
    Human
See all eIF4B products